Commentary
Diarrhea in children has a worldwide prevalence and it is estimated that more than 5 million children succumb to the disease worldwide and is the fifth largest cause of mortality in third-world countries [1]. An operative definition of diarrhea as proposed by the World Health Organization refers to the passage of three or more loose or liquid stools per day or more frequently than is normal for the individual based on the duration of symptoms it can be classified as acute –i.e. less than 14 days duration and chronic if more than three weeks duration [2]. Acute diarrhea is usually infective in origin- viral or bacterial while the latter may be complicated by the passage of blood in stools or sepsis and may require hospitalization and imaging evaluation.
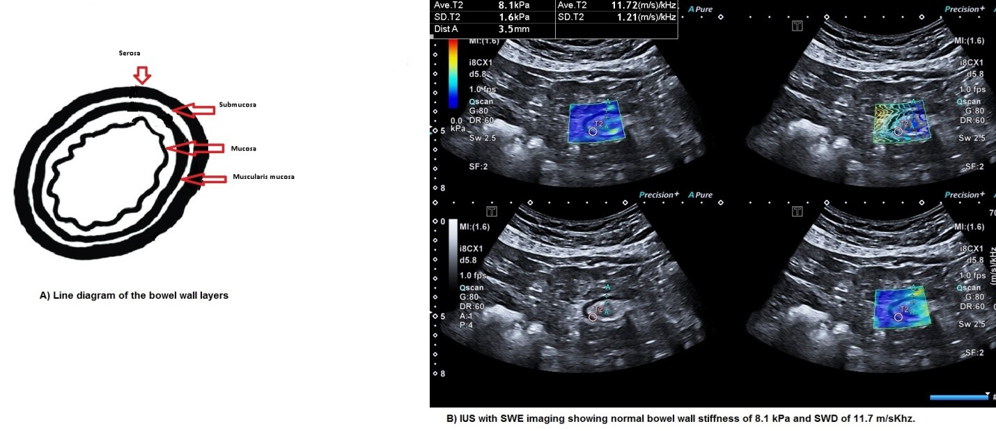
Evaluation of chronic pediatric diarrhea is more challenging and various algorithms have been suggested based on history and a combination of multiple blood, stool, and various allergy tests along with invasive endo - colonoscopies and biopsies [3,4]. Traditionally grey scale ultrasonography has been used to evaluate small bowel. Using high-frequency transducers with a graded compression technique the different layers of the bowel can be distinctly visualized (Figure 1A) along with wall thickness measurement and the condition of surrounding mesentery, lymph nodes, and peritoneal fluid. It has 100% sensitivity and specificity to rule out intestinal intussusception and has a high sensitivity for appendicitis. USG has a limited specificity in determining the cause of inflammatory bowel disease and also in the detection of acute bowel inflammation.
Figure 1. A. Line diagram of bowel wall layers. B. IUS with SWE imaging showing normal bowel wall stiffness of 8.1 kPa and SWD of 11.7 m/sKhz.
Recent advances in imaging i.e. shear wave elastography (SWE) have opened up newer applications of SWE to evaluate small bowel in patients with both acute and chronic diarrhea. The technique involves the generation of shear waves using ultrasound with the same transducer and causes displacement of the soft tissues in the region of interest. The speed of these waves is calculated, and the stiffness is determined in kilopascals. Recently a new parameter of shear wave dispersion (SWD) has also been added which measures the viscosity of the tissues and is an indirect imaging marker of inflammation (Figure 1B).
Figure 2. SW image of patient with Short segment ileal narrowing with SWE of 47.8 kPa and SWD of 14.0 m/s/kHz of a patient with terminal ileal kochs.
Using newer imaging techniques Kapoor et al. [5] proposed a single first-line imaging using IUS and SWE to triage these patients as depicted in the workflow chart 1.
Group I patients with increased bowel wall thickening >3 mm usually shows some luminal narrowing and on SWE have increased wall stiffness more than 22 kPa with stricture formation. Patients with intestinal Koch usually show wall stiffness of more than 30 kPa (Figure 2). Due to the systematic use of the two-step scheme of evaluation using IUS and SWE, one can not only diagnose inflammatory bowel disease but can also differentiate inflammatory from fibrotic bowel thickening and suggest its etiology [6]. Solarz et al. [7] also in their systematic review suggested the role of SWE as a promising tool to evaluate bowel inflammatory conditions.
Group II patients are those who show bowel walls with preserved bowel stratification. SWD, which is a noninvasive marker of inflammation was alone increased with the submucosal layers being affected predominantly. This pattern was characteristic in patients with ileocolitis (Figure 3). In the study by Kapoor et al. [5] a poor sensitivity of 27% by computed tomography to detect bowel inflammation was observed compared to 100% by the use of SWE. Similar results has also been shown by Alloca et al. [8] in their study.
Figure 3. SW image of patient with chronic colitis with bowel wall inflammation with raised SWD of 25.4 ms/kHz and normal wall stiffness of 6.8 kPa.
Group III patients are those with increased SWE and SWD and need corroborative tests to reach final diagnosis as these findings can be observed in early Crohn's disease, partially treated infective ileo-colitis (Figure 4). The ancillary imaging findings like increased bowel vascularity, regional lymph nodes, and mesenteric creeping fat sign may also be helpful imaging features in making a differential diagnosis. The ability to directly detect inflammation by the use of SWD has made SWE a unique tool to directly detect and quantify tissue inflammation, unlike the use of inflammatory serum biomarkers like C reactive protein, erythrocyte sedimentation rate, Interleukin levels which are all indirect markers. Even fecal calprotectin being a specific test of inflammatory bowel disease does not depict the site of bowel inflammation. Hence SWE becomes a tool with immense potential in the evaluation of all such patients.
Figure 4. A patient with Crohn disease with increased bowel stiffness of 14 kPa and SWD of 24.10 m/s/kHz.
We feel that the above approach to a patient with chronic diarrhea is more cost-effective, accurate, and is a single-stop noninvasive test to triage patients. All those who have a normal imaging examination may then proceed to other panels of hematological, stool, and even invasive endo-colonoscopic evaluations or even mucosal biopsies to reach final diagnosis. The role of other imaging modalities like contrast-enhanced tomography and magnetic resonance imaging may be used to stage the extent of disease. This approach is not only cost-effective but saves the pediatric patient from the use of intravenous contrast and is radiation free [9].
References
2. Troeger C, Blacker BF, Khalil IA, Rao PC, Cao S, Zimsen SR,et al . Estimates of the global, regional, and national morbidity, mortality, and aetiologies of diarrhoea in 195 countries: a systematic analysis for the Global Burden of Disease Study 2016. The Lancet Infectious Diseases. 2018 Nov 1;18(11):1211-28.
3. Thiagarajah JR, Kamin DS, Acra S, Goldsmith JD, Roland JT, Lencer WI, et.al, PediCODE Consortium. Advances in evaluation of chronic diarrhea in infants. Gastroenterology. 2018 Jun 1;154(8):2045-59.
4. Fine KD, Schiller LR. AGA technical review on the Evaluation and Management of chronic Diarrhea. Gastroenterology. 1999 Jun 1;116(6):1464-86.
5. Kapoor A, Singh A, Kapur A, Mahajan G, Sharma S. Use of shear wave imaging with intestinal ultrasonography in patients with chronic diarrhea. Journal of Clinical Ultrasound. 2024 Feb;52(2):163-75.
6. Zhang M, Xiao E, Liu M, Mei X, Dai Y. Retrospective Cohort Study of Shear-Wave Elastography and Computed Tomography Enterography in Crohn’s Disease. Diagnostics. 2023 Jun 5;13(11):1980.
7. Ślósarz D, Poniewierka E, Neubauer K, Kempiński R. Ultrasound elastography in the assessment of the intestinal changes in inflammatory bowel disease—systematic review. Journal of Clinical Medicine. 2021 Sep 7;10(18):4044.
8. Allocca M, Fiorino G, Bonovas S, Furfaro F, Gilardi D, Argollo M,et. al. Accuracy of humanitas ultrasound criteria in assessing disease activity and severity in ulcerative colitis: a prospective study. Journal of Crohn's and Colitis. 2018 Nov 28;12(12):1385-91.
9. Üstüner E. Shear wave elastography and dispersion imaging in intestinal ultrasound in the setting of chronic diarrhea. Journal of clinical Ultrasound: JCU. 2024 Feb;52(2):176-7.




