Abstract
A 2-month-old girl came to our Radiology Department to perform an abdominal ultrasound. At 38 weeks she was born and she was hospitalized for 3 weeks due to intrauterine growth retardation and hypotonia and the results of the medical study were normal, included cerebral and abdominal ultrasound exception karyotype (47 XX with chromosome marker of unknown origin). At 2 months, an abdominal ultrasound was performed with the diagnosis of supradiaphragmatic stomach and infradiaphragmatic duodenal bulb. Subsequently, an upper gastrointestinal contrast study was carried out that confirmed the diagnosis of intrathoracic stomach. No vomiting or regurgitation even if she presented a lot of hiccups during feeding. The genetic study was extended and a Fluorescence in situ hybridization (FISH) testing was performed with the diagnosis of Trisomy of the centromeric region of the chromosome 20. At 3 months of age, surgery was performed and the diagnosis was intrathoracic stomach with normal esophagus.
The congenital intrathoracic stomach is an extremely rare and serious congenital pathology that requires timely recognition and adequate medical and surgical management because may be complicated by gastric volvulus and can lead to ischemic gastric infarction in the neonate. The presence of an intrathoracic hypoechoic image without displacement of the mediastinum seems to be very suggestive of the presence of congenital intrathoracic stomach. The treatment must be immediate at birth given the high mortality related to the bronchial aspirate of the gastric content or the possibility of a gastric volvulus.
Case Report
A 2-month-old girl came to our Radiology Department to perform an abdominal ultrasound. As a personal history, amniocentesis was performed at 15 weeks, obtaining a normal karyotype. As of week 32, intrauterine growth retardment was observed, a week of betrayal. At 37-38 weeks, oligohydramnios and aged placenta were observed. At 38 weeks was born, by cesarean section, properly; Apgar 9/9, 2050 gr of birth weight, 43.5 cm of height and 32 cm of cephalic perimeter. The new born was hospitalized for 3 weeks due to intrauterine growth retardation and hypotonia and the results of the medical study were normal, included cerebral and abdominal ultrasound exception karyotype (47 XX with chromosome marker of unknown origin). At 2 months, an abdominal ultrasound was performed with the diagnosis of supradiaphragmatic stomach and infradiaphragmatic duodenal bulb. Subsequently, an upper gastrointestinal contrast study was carried out that confirmed the diagnosis of intrathoracic stomach (Figures 1-3). She presented hyporexia and looked hungry when she drank her milk doses, but got tired soon and stopped, without crying. No vomiting or regurgitation even if she presented a lot of hiccups during feeding. The physical examination revealed a dystrophic phenotype, axial hypotonia (no cephalic support), pallor of the skin, no mucous membranes, excavated abdomen, ogival palate, low implantation ears and retrognatia. Brain ultrasound was performed and showed mild colpocephaly and corpus callosum hypoplasia. In the echocardiogram, foramen ovale and mild ductus arteriosus were diagnosed. The genetic study was extended with array-comparative genomic hybridization (ARRAY CGH), the result being: female sex 20q11.21. A FISH testing was performed with the diagnosis of Trisomy of the centromeric region of the chromosome 20. At 3 months of age, surgery was performed reintroducing the stomach into the abdominal cavity that was located in its entirety in the chest and given the size of the stomach was performed a Thal fundoplication. Finally, the diagnosis was intrathoracic stomach with normal esophagus (malnutrition and anemia as consequence), in addition to hypotonia and delayed psychomotor development, mild colpocephaly, hypoplasia of corpus callosum and altered karyotype, not being able to diagnose any known syndrome.
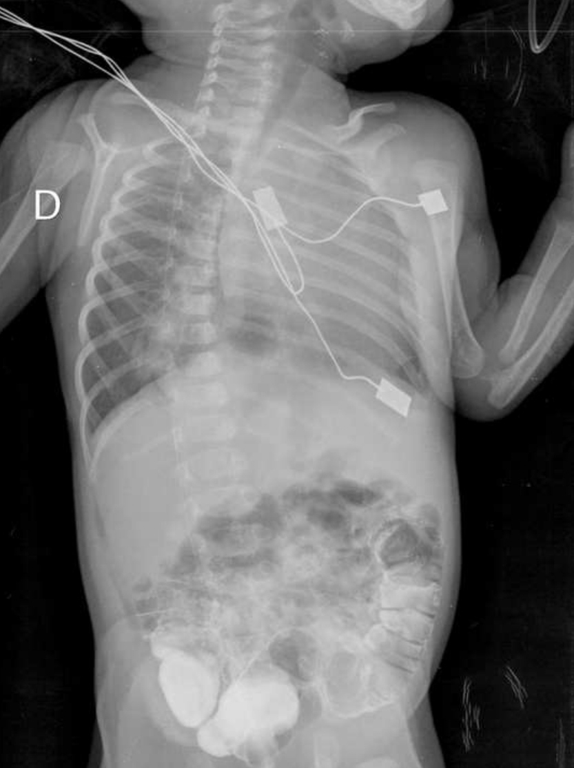
Figure 1: Thorax-abdomen X-ray showing absence of gastric bubble.
Figures 2: Upper gastrointestinal contrast study showing the stomach occupying the right side of the chest with coiled feeding tube.
Figure 3: Thorax-abdomen X-ray after upper gastrointestinal contrast study showing a gastric bubble inside the thorax.
Discussion
Intrathoracic congenital stomach is a very rare and serious condition. Early diagnosis is mandatory as it can be complicated by gastric volvulus and can lead to ischemic gastric infarction in the neonate. It has been reported as diagnosis in utero [1] or as late diagnosis in neonate without gastric volvulus [2,3] and even related with Marfan´s syndrome [4,5]. If diagnosed antenatally, neonatal management can be planned in advance so as to reduce morbidity [6]. The main differential diagnoses for this condition include the real congenital short esophagus, hiatal hernia and congenital diaphragmatic hernia. The characteristics that suggest the intrathoracic stomach secondary to congenital short esophagus instead of the congenital hiatal hernia that is relatively more common include the early identification of the intrathoracic stomach during the second trimester and the constant absence of an abdominal bubble on prenatal ultrasound. The congenital diaphragmatic hernia usually associates pulmonary hypoplasia, being rare in the gastric hernia. Perinatal ultrasound control is essential for the detection, follow-up and timely management of these patients. The presence of an intrathoracic hypoechoic image without displacement of the mediastinum seems to be very suggestive of the presence of congenital intrathoracic stomach (regardless of whether it is a real short esophagus or a hiatal hernia). The treatment must be immediate at birth given the high mortality related to the bronchial aspirate of the gastric content or the possibility of a gastric volvulus. The early recognition of the intrathoracic stomach is important since it is associated with difficult management and significant postnatal complications but if it is not diagnosed antenatally, the diagnosis may be delayed as the case that is presented, being very difficult due to the extreme infrequency of the pathology.
Funding Source
No external funding for this manuscript.
Financial Disclosure
The authors have indicated they have no financial relationships relevant to this article to disclose.
Conflict of Interest
The authors have indicated they have no potential conflicts of interest to disclose.
Contributors' Statement
Drs. Lorén Martín and López Escobar drafted the initial manuscript, reviewed and revised the manuscript, and approved the final manuscript as submitted. Dr. Miralles Molina contributed to the diagnosis. Unfortunetely, she died before drafted the initial manuscript. Drs. Lorén Martín and López Escobar approved the final manuscript as submitted and agree to be accountable for all aspects of the work.
References
2. Bokka S, Mohanty MK. Neonatal intrathoracic stomach without gastric volvulus. Indian Journal of Surgery. 2016 Oct;78(5):420-1.
3. Martinez-Leo B, Vidal-Medina J, Castillo-Aguirre A, Portugal-Moreno V, Vargas-Gomez M. Intrathoracic stomach in a newborn: hiatal hernia or true congenital short esophagus ?. Perinatology and Human Reproduction. 2017 Mar 1; 31 (1): 44-7.
4. Petersons A, Liepina M, Spitz L. Neonatal intrathoracic stomach in Marfan’s syndrome: report of two cases. Journal of pediatric surgery. 2003 Nov 1;38(11):1663-4.
5. Arena F, Impellizzeri P, Antonuccio P, Montalto S, Racchiusa S, Romeo C. Neonatal intrathoracic gastric volvulus in Marfan's syndrome. Minerva Pediatr. 2009 Oct;61(5):565-7.
6. Leung AW, Lam HS, Chu WC, Lee KH, Tam YH, Ng PC. Congenital intrathoracic stomach: short esophagus or hiatal hernia? Neonatology. 2008;93(3):178-81.



