Loading

2026

Volume 2, Issue 1, p1-17

Articles published in this issue are Open Access and licensed under Creative Commons Attribution License (CC BY NC) where the readers can reuse, download, distribute the article in whole or part by mentioning proper credits to the authors.

Tuberculous pericarditis with cardiac tamponade in a patient receiving adalimumab

Background: Tuberculous pericarditis is a rare manifestation of tuberculosis in developed countries and poses a significant diagnostic challenge due to its nonspecific clinical presentation. Immunocompromised individuals, particularly those receiving tumor necrosis factor-alpha (TNF-α) inhibitors, are at substantially increased risk of developing tuberculosis. Therefore, screening for tuberculosis infection and active disease is essential prior to initiating biological therapy.

J Case Rep Clin Stud, 2026, Volume 2, Issue 1, p1-7 | DOI: 10.46439/casereports.2.012

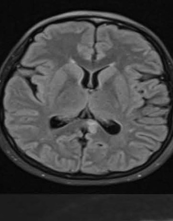
Susac syndrome in association with anti-GAD-65 antibodies 

Susac syndrome is a rare autoimmune endotheliopathy characterized by encephalopathy, branch retinal artery occlusion (BRAO), and sensorineural hearing loss (SNHL). Due to its diverse presentation, it is often misdiagnosed. We report a case of a 22-year-old female with progressive neurological symptoms, hearing loss, and cognitive dysfunction. Brain MRI revealed characteristic corpus callosum “snowball” lesions, and further investigations confirmed BRAO and SNHL. 

J Case Rep Clin Stud, 2026, Volume 2, Issue 1, p8-13 | DOI: 10.46439/casereports.2.013

Divergent outcomes in twins with bilateral adrenalectomy and COVID-19: importance of stress-dose steroids

Patients with primary adrenal insufficiency require stress-dose glucocorticoids during acute illness to prevent adrenal crisis. We report twin patients with von Hippel–Lindau syndrome status post bilateral adrenalectomy who presented concurrently with symptomatic SARS-CoV-2 infection but experienced markedly different clinical courses based on adherence to stress-dose steroid recommendations. 

J Case Rep Clin Stud, 2026, Volume 2, Issue 1, p14-17 | DOI: 10.46439/casereports.2.014

Recommended Articles

Report of an Iranian child with developmental motor delay and renal and hepatic complications diagnosed as a Glycogen storage disease type 1a: A case report

Background: Glycogen storage disease type 1a (GSD-1a) is the most common form of GSDs, accounting for 80% of these cases. Here we present a 16-month-old boy being treated for GSD-1a at our clinic. Case presentation: Given that the patient was not examined and diagnosed prior to referral to our clinic, mitochondrial disease due to developmental delay, high lactate levels, and lack of hypoglycemia was treated first. 

Late-onset panuveitis in a Chinese girl with sporadic Blau syndrome: A case report

We present a case of late-onset eye manifestations in a Chinese girl of 18 years old with sporadic BS, presenting only mild eye inflammation. We performed comprehensive ocular examinations including fluorescein fundus angiography (FFA) and indocyanine green angiography (ICG) for her. The oral hormone plus local anti-inflammatory eye drops have well controlled the inflammation of her eyes.

Surgical Approach to Pemphigus Vulgaris in the Lacrimal Punctum: A Case Report

Pemphigus comprises a rare but potentially life-threatening group of autoimmune bullous dermatoses that primarily affect the skin and mucous membranes. Histopathologically, it is characterized by the presence of intraepidermal acantholysis and deposition of IgG autoantibodies against desmosomal cadherins, notably desmoglein 1 (Dsg1) and desmoglein 3 (Dsg3), leading to compromised intercellular adhesion among keratinocytes.

An uncommon impacted laryngeal foreign body: A case report

Foreign body (FB) aspiration is an uncommon but a life-threatening emergency. It occurs more commonly among children than in adults [1]. The prevalence ranges from 57% to 80% among children under five years of age [2].

Solid papillary carcinoma of the breast in a premenopausal woman: A rare presentation of an uncommon entity

Solid Papillary Carcinoma (SPC) is a rare sub-type of breast cancer essentially observed in postmenopausal women, accounting for less than one percent of all breast malignancies. It usually presents as a palpable mass or bloody nipple discharge. We report a case of a forty one year old pre-menopausal female presenting with a long-standing lump in the retro-areolar region of the breast. Imaging and biopsy initially suggested invasive ductal carcinoma.

Navigating the challenges: Anesthetic management of a patient with alkaptonuria undergoing spinal fracture fixation: A case report

Alkaptonuria is an uncommon autosomal recessive disorder of tyrosine metabolism. It poses a significant anesthetic challenge due to systemic ochronosis, which is caused by the deposition of ochronotic pigments in connective tissues. We report the case of a 68-year-old male with alkaptonuria who required surgical fixation for a D11 fracture.

Diagnostic and management challenges of glycogen storage disease type 1a in a Somali child: A case report from a low-resource setting

Background: Glycogen storage disease type 1a (GSD-1a) is a rare autosomal recessive metabolic disorder caused by a deficiency in the glucose-6-phosphatase enzyme. It commonly presents in infancy with fasting hypoglycemia, hepatomegaly, and metabolic disturbances. In resource-limited settings like Somalia, diagnosis and management are significantly hampered by the lack of advanced diagnostic facilities and nutritional support.

Progressive ophthalmoplegia, cyclical hypersomnolence, and sensorineural hearing loss in a child with genetically confirmed Kearns-Sayre Syndrome: A diagnostic odyssey

Background: Kearns-Sayre syndrome (KSS) is a rare mitochondrial DNA deletion disorder presenting before the age of 20 years, characterized by progressive external ophthalmoplegia, pigmentary retinopathy, and systemic manifestations including cardiac, endocrine, and neurological features. Early recognition remains challenging due to its heterogeneous and evolving phenotype.

A case report of an uncommon presentation of furuncular myiasis in Eritrea

Background: Myiasis refers to the infection of vertebrate tissues by dipteran fly maggots. The most well-known causal organism is Dermatobia hominis, a human botfly. Case presentation: A 24-year-old female residing in Asmara, Eritrea, presented herself at the emergency room after experiencing a foreign body sensation for six days, with a history of multiple painful and pruritic nodules on 8th September 2025 at Halibet Referral Hospital. 

Divergent outcomes in twins with bilateral adrenalectomy and COVID-19: importance of stress-dose steroids

Patients with primary adrenal insufficiency require stress-dose glucocorticoids during acute illness to prevent adrenal crisis. We report twin patients with von Hippel–Lindau syndrome status post bilateral adrenalectomy who presented concurrently with symptomatic SARS-CoV-2 infection but experienced markedly different clinical courses based on adherence to stress-dose steroid recommendations. 

Tuberculous pericarditis with cardiac tamponade in a patient receiving adalimumab

Background: Tuberculous pericarditis is a rare manifestation of tuberculosis in developed countries and poses a significant diagnostic challenge due to its nonspecific clinical presentation. Immunocompromised individuals, particularly those receiving tumor necrosis factor-alpha (TNF-α) inhibitors, are at substantially increased risk of developing tuberculosis. Therefore, screening for tuberculosis infection and active disease is essential prior to initiating biological therapy.

Susac syndrome in association with anti-GAD-65 antibodies 

Susac syndrome is a rare autoimmune endotheliopathy characterized by encephalopathy, branch retinal artery occlusion (BRAO), and sensorineural hearing loss (SNHL). Due to its diverse presentation, it is often misdiagnosed. We report a case of a 22-year-old female with progressive neurological symptoms, hearing loss, and cognitive dysfunction. Brain MRI revealed characteristic corpus callosum “snowball” lesions, and further investigations confirmed BRAO and SNHL.