Loading
Journal of Clinical Anesthesia and Intensive Care
ISSN: 2767-3367
Mind-body approaches for reducing the need for post-operative opioids: Evidence and opportunities
While opioids remain our most potent analgesics in the management of pain, the many potential harms of prescription opioids have become increasingly clear. Despite the analgesic benefits for people with acute and chronic pain [1], opioid therapy (especially long-term opioid treatment) can result in significant problems such as opioid misuse, the development of opioid use disorder, and overdose. Some authors report that up to 20-30% of patients in primary and tertiary care settings who are maintained on long-term opioid therapy misuse opioids (i.e., use them in a manner other than how the opioids are prescribed) [2,3]. Misuse of opioids can cause or exacerbate additional health problems in people with chronic pain [1,4], and in fact, roughly 10% of patients prescribed long-term opioid therapy may develop an opioid use disorder (OUD), although prevalence varies between studies depending on differences in methodology and operational definitions [3].
J Clin Anesth Intensive Care, 2022, Volume Volume 3, Issue Issue 1, p1-5 | DOI: 10.46439/anesthesia.3.016
Commentary on ‘Late presentation of right coronary artery stent infection as left empyema and pleuro-pericardial fistula’
The case study describes a rare and maybe fatal consequence of coronary stent infection (CSI), with an emphasis on the rise in occurrence over the last decade [1]. In order to enhance patient outcomes, the authors stress the need for early recognition and proper medical and surgical management. Coronary artery disease (CAD) is a serious global health concern, with an estimated 126 million people worldwide suffering from it. In addition, CAD caused millions of fatalities in 2017 [2].
J Clin Anesth Intensive Care, 2024, Volume Volume 4, Issue Issue 1, p1-5 | DOI: 10.46439/anesthesia.4.018
Systemic lidocaine in bariatric surgery: advances and perspectives in anesthesiology and multimodal pain management – a commentary
Patients undergoing bariatric surgery have increased vulnerability to opioid-related adverse events, making multimodal and opioid-sparing strategies a clinical priority. Evidence for perioperative systemic lidocaine in bariatric surgery is controverse; pooled benefits in meta-analyses coexist with neutral findings in some contemporary randomized trials.
J Clin Anesth Intensive Care, Volume 6, Issue 1, p1-5
Surgical smoke and SARS-CoV-2 transmission
The protection of health care workers from nosocomial infection is a paramount consideration in the current pandemic involving severe acute respiratory syndrome coronavirus 2 (SARS-CoV-2). Not only is prevention of viral transmission the most effective means to lessen the public health impact of coronavirus disease 2019 (COVID-19), but also both quarantine and illness – that disproportionately affect health care workers – have devastating effects on the ability of hospitals to adequately care for increased patient loads.
J Clin Anesth Intensive Care, 2020, Volume Volume 1, Issue Issue 1, p1-6 | DOI: 10.46439/anesthesia.1.001
Uncommon but serious: The risk of atrio-esophageal fistula (AEF) following atrial fibrillation ablation
Atrial fibrillation (AF) affects 4% of individuals over 60 years old, an incidence rising to 9% in those over 80. For patients with symptomatic AF unresponsive to medication, catheter ablation is a common treatment, though it carries risks including cardiac tamponade, thromboembolic events, and rarely, atrio-esophageal fistula (AEF). AEF, a severe complication (up to 0.1%) with a mortality rate of 67%-100%, arises from thermal injury to the esophagus. Cardiac, neurologic or infection related symptoms appear 2 days to 6 weeks post-procedure.
J Clin Anesth Intensive Care, 2025, Volume Volume 5, Issue Issue 1, p1-6 | DOI: 10.46439/anesthesia.5.023
Enhanced recovery after thoracic surgery (ERATS): A current review
Enhanced recovery after surgery (ERAS) is a comprehensive care protocol that incorporates evidence-based practices to achieve the most optimal postoperative outcomes, safe on-time discharge, and surgical cost efficiency. ERAS protocols have been adapted for specialty-specific needs and implemented by a variety of surgical disciplines including thoracic surgery.
J Clin Anesth Intensive Care, 2021, Volume Volume 2, Issue Issue 1, p1-7 | DOI: 10.46439/anesthesia.2.006
The role of hybrid arch repair with thoracic endovascular repair for contemporary management of complex arch and descending
Historically, the management of complex aortopathies was limited to open surgical repair, which carries a heightened risk of mortality and morbidity in elderly and comorbid patients [1]. In recent years, advancements in the management of complex aortic arch and descending thoracoabdominal aortic pathologies have increased treatment options for frail and elderly patients unamenable to conventional open repair. Among these, hybrid arch repair (HAR) with simultaneous or staged thoracic endovascular repair (TEVAR) has emerged as a viable option for this population.
J Clin Anesth Intensive Care, 2024, Volume Volume 4, Issue Issue 1, p6-7 | DOI: 10.46439/anesthesia.4.019
Artificial intelligence and the depersonalization of medicine
I have only written one other editorial that was not purely scientific. It followed shortly after my fortieth medical school reunion and lamented for a past time when the “primary, secondary, tertiary, and quaternary” [1] goals of medicine were patient care and physicians expected (and therefore made time) to talk with patients and examine them in a manner commensurate with those goals.
J Clin Anesth Intensive Care, Volume 6, Issue 7, p6-7
Case Report of a Contained Ascending Aortic Rupture
Aortic aneurysm rupture is typically the failure of the aortic wall to withstand the tension placed upon it by a patient’s blood pressure. Along with clinical judgement and an assessment of signs and symptoms, a computed topography angiogram (CTA) is amongst the first line of diagnostic studies having 87-94% sensitivity for rupture. Therefore, while the possibility of a CTA not catching an aortic rupture is present, the chance is very low. Usually a missed or delayed diagnosis for this type of pathology is catastrophic resulting in patient death. We present the case report of a 68-year-old male with a contained aortic rupture that was initially missed on CTA.
J Clin Anesth Intensive Care, 2022, Volume Volume 3, Issue Issue 1, p6-9 | DOI: 10.46439/anesthesia.3.017
Early icu mortality: An opportunity for proactive triage, ethical deliberation, and integrated models of care
Intensive care unit (ICU) admissions have increased considerably in the last decade. A group of patients that remains poorly characterized are the ones who die within the first 24 hours following ICU admission.
J Clin Anesth Intensive Care, 2025, Volume Volume 5, Issue Issue 1, p7-9 | DOI: 10.46439/anesthesia.5.024
Lung ultrasound: a new standard for diagnosis of ventilator associated pneumonia?
As the soft tissue- air interface is virtually impenetrable to ultrasound, its utility for evaluating lung pathologies was historically thought to be unfeasible [1]. However, the observation of different artifacts and novel research into their interpretations has helped transform this dogma and develop lung ultrasound as a valuable diagnostic tool in pulmonary diseases.
J Clin Anesth Intensive Care, 2020, Volume Volume 1, Issue Issue 1, p7-10 | DOI: 10.46439/anesthesia.1.002
Antidepressants in intensive care survivors: neuroimmune modulation, clinical outcomes, and translational implications
Neuropsychiatric sequelae following critical illness are increasingly recognized as major determinants of long-term morbidity and mortality. Depression affects approximately one-third of intensive care unit (ICU) survivors and contributes significantly to post-intensive care syndrome (PICS). Recent epidemiological data demonstrate substantial initiation of antidepressant therapy following ICU discharge, while clinical cohort studies confirm a high burden of depressive symptoms among survivors.
J Clin Anesth Intensive Care, Volume 6, Issue 1, p8-11
Drug delivery via the upper nasal space: A novel route for anesthesiologists, intensivists and emergency department physicians?
Many drugs are effective systemically, but slow onset of non-intravenous routes of administration may limit their clinical utility. While anesthesiologists usually have intravenous (IV) access for drug delivery, other healthcare professionals in less controlled situations such as acute crises in the emergency room, critical care settings, or urgent needs in the community, may need non-invasive drug delivery [1].
J Clin Anesth Intensive Care, 2021, Volume Volume 2, Issue Issue 1, p8-14 | DOI: 10.46439/anesthesia.2.007
The modern era of neuromuscular blockade: From inflammatory mechanisms to innovative neuromuscular and reversal agents
The introduction of neuromuscular blocking agents by Griffith and Johnson 83 years ago revolutionized anesthesia and surgical practices. Muscle relaxants are vital for facilitating endotracheal intubation, minimizing upper airway trauma, and creating optimal surgical conditions.
J Clin Anesth Intensive Care, 2025, Volume Volume 5, Issue Issue 1, p10-15 | DOI: 10.46439/anesthesia.5.025
Common patient positioning in gastrointestinal endoscopy
Gastrointestinal endoscopic procedure is routinely utilized for diagnosis and treatment of gastrointestinal abnormalities. The optimal positioning for this procedure is to offer the best operative access while minimizing potential risk to the patient. Changing the patient's position could improve the probabilities of successful endoscopy. However, each position carries some degrees of risk and this is applied in each procedure. Commonly approved positions include lateral, prone and supine. This article addresses the common patient positions used for gastrointestinal endoscopic procedures.
J Clin Anesth Intensive Care, 2020, Volume Volume 1, Issue Issue 1, p11-12 | DOI: 10.46439/anesthesia.1.003
Is blood type “O” associated with a higher risk of post-partum hemorrhage and hemostasis disorders? A retrospective study
Background: Maternal hemorrhage represents the most prevalent complication and primary cause of mortality during childbirth. Extensive studies have elucidated noteworthy correlations between ABO blood type and cardiovascular disease risk in both genders. Notably, individuals with blood type O exhibit a substantial variation in the formation of the platelet plug on vascular lesions, accompanied by a reduction in von Willebrand factor.
J Clin Anesth Intensive Care, 2024, Volume Volume 4, Issue Issue 1, p11-22 | DOI: 10.46439/anesthesia.4.021
Commentary on: Hydatidiform mole in the scar of uterus: a case report
We read with great interest the paper published by Jiang et al. [1]. They illustrated a case of cesarean scar molar pregnancy in which the patient complained of vaginal bleeding and amenorrhea, and the concentration of human chorionic gonadotropin (HCG) increased abnormally and eventually recovered following comprehensive therapy including suction evacuation, uterine arterial embolization (UAE), and chemotherapy.
J Clin Anesth Intensive Care, 2020, Volume Volume 1, Issue Issue 1, p13-16 | DOI: 10.46439/anesthesia.1.004
The evolution of sedation for transcatheter aortic valve replacement
U.S. health care spending grew 4.6 percent in 2018, reaching $3.6 trillion or $11,172 per person. For comparison, Switzerland the country with the second highest healthcare expenditure in the Organization for Economic Cooperation and Development (OECD) spent $7,280 per person.
J Clin Anesth Intensive Care, 2021, Volume Volume 2, Issue Issue 1, p15-19 | DOI: 10.46439/anesthesia.2.008
Potential of the Prognostic Nutritional Index (PNI): A simple and effective tool for mortality prediction in intensive care
Aim: Early identification of mortality risk remains a challenge in the Intensive Care Unit (ICU). The Prognostic Nutritional Index (PNI), a simple tool reflecting combined nutritional and immunological status (via serum albumin and lymphocyte count), has shown promise across various critically ill populations. This study aims to evaluate the prognostic value of PNI in predicting in-hospital mortality among a cohort of adult patients admitted to a medical ICU, and to assess its clinical utility as an accessible biomarker for risk stratification.
J Clin Anesth Intensive Care, 2025, Volume Volume 5, Issue Issue 1, p16-21 | DOI: 10.46439/anesthesia.5.026
Etrasimod: A promising therapeutic candidate against Multiple Sclerosis
Multiple sclerosis (MS) is central nervous system (CNS) based disease. It is a chronic inflammatory demyelinating disease [1]. The main causes for MS are genetic and environmental factors. It is a disease of young people (median age of onset is around 28 years) but is lifetime and is often disabling; 50% of patients need a cane to walk 15 years after disease onset; and Worldwide more than 2.5 Million persons are affected.
J Clin Anesth Intensive Care, 2020, Volume Volume 1, Issue Issue 1, p17-19 | DOI: 10.46439/anesthesia.1.005
Goals for pediatric inpatient pain management: Best care everywhere
Acute pain is defined as an unpleasant sensory and emotional experience associated with, or resembling actual or potential tissue damage as a result of a surgical procedure, physical trauma, or as a consequence of a medical condition [1]. The prevalence of moderate-severe pain, defined as pain which significantly interferes with daily living activities, ranges between 27% and 66% in hospitalized pediatric patients and remains inconsistent even in those institutions with excellent resources and good reputations [2,3].
J Clin Anesth Intensive Care, 2021, Volume Volume 2, Issue Issue 1, p20-25 | DOI: 10.46439/anesthesia.2.009
Escaping a storm alive: A case report of a young woman’s acute presentation of thyroid storm leading to cardiac arrest salvaged by VA-ECMO
Thyroid storm is a rare but potentially life-threatening form of thyrotoxicosis. The presence of excessive thyroid hormones leads to toxic direct and indirect effects on the cardiovascular system resulting in entity known as thyrotoxicosis-induced cardiomyopathy (TCM).
J Clin Anesth Intensive Care, 2021, Volume Volume 2, Issue Issue 1, p26-30 | DOI: 10.46439/anesthesia.2.010
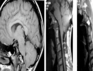
Craniovertebral junction abnormalities in children: Surgical, anesthetic and intensive care implications
The craniovertebral junction is unique and the most complex of the axial skeleton in multiple aspects; embryology, anatomy, pathology and kinematics. A surgical physiological approach to management of its abnormalities was instituted at the University of Iowa Hospitals & Clinics (UIHC) in 1977 and has been the accepted treatment algorithm worldwide.
J Clin Anesth Intensive Care, 2021, Volume Volume 2, Issue Issue 2, p31-41 | DOI: 10.46439/anesthesia.2.011
Anesthetic drugs: a comprehensive overview for anesthesiologists
The purpose of this document is to provide a unique white paper on the use of different anesthetic drugs and the key clinical pearls for ensuring patient safety in humans. This paper is designed to be a convenient guide that can be placed in work rooms for residents and medical school trainees to improve their learning and to provide reminders about drug-drug interactions.
J Clin Anesth Intensive Care, 2021, Volume Volume 2, Issue Issue 2, p42-53 | DOI: 10.46439/anesthesia.2.012
The expedient awake intubation
Awake fiberoptic intubation remains the safest approach to managing the Difficult Airway. It is a difficult, multi-step procedure that can be time-consuming if not performed frequently. Primitive cough and gag reflexes can be challenging to block quickly with topical anesthetics.
J Clin Anesth Intensive Care, 2021, Volume Volume 2, Issue Issue 2, p54-60 | DOI: 10.46439/anesthesia.2.013
Anesthetic considerations for previously COVID-19 positive patients: design and rapid implementation of a perioperative surgical home (PSH) program
The COVID-19 pandemic presents unprecedented challenges for anesthesia professionals and their surgical patients. Beyond managing infection risk, positive COVID-19 surgical patients add additional challenges to their perioperative care, where its perioperative risk are superimposed onto an already baseline anesthesia risk in real-time with an unknown and unpredictable fashion.
J Clin Anesth Intensive Care, 2021, Volume Volume 2, Issue Issue 2, p61-66 | DOI: 10.46439/anesthesia.2.014
Dexmedetomidine’s influence on autophagy and its possible link to the cholinergic anti-Inflammatory pathway
Anesthesia and surgical interventions may induce cognitive impairments, such as postoperative delirium (POD) and postoperative cognitive dysfunction (POCD) [1]. These dysfunctions particularly affect the elderly population [2] and increase morbidity and mortality thus representing a major burden for the healthcare system [1].
J Clin Anesth Intensive Care, 2021, Volume Volume 2, Issue Issue 2, p67-71 | DOI: 10.46439/anesthesia.2.015