Loading

Bovine mastitis: causopathology, diagnosis, treatment, and patho-pathogenesis
Mastitis is an inflammatory disease of the bovine mammary gland caused by bacterial, viral, fungal, or parasitic infections, with pathogens primarily entering through the teat canal. Once established, they proliferate and evade host immunity, triggering complex immunological cascades mediated by bacterial toxins, proteins, and immunomodulators, which can result in increased somatic cell counts, vascular permeability, fibrosis, and systemic toxemia in severe cases.
J Biomed Res, , p17-24
Divergent outcomes in twins with bilateral adrenalectomy and COVID-19: importance of stress-dose steroids
Patients with primary adrenal insufficiency require stress-dose glucocorticoids during acute illness to prevent adrenal crisis. We report twin patients with von Hippel–Lindau syndrome status post bilateral adrenalectomy who presented concurrently with symptomatic SARS-CoV-2 infection but experienced markedly different clinical courses based on adherence to stress-dose steroid recommendations.
J Case Rep Clin Stud, , p14-17
Measurable residual disease as a surrogate endpoint for overall survival in acute myeloid leukemia: a call to action
The standardization and implementation of new endpoints are crucial for the development of novel therapeutic agents. These endpoints help streamline clinical development while maintaining high standards of care for innovative treatments, ultimately leading to improved patient outcomes.
Clin Res Oncol, , p1-11
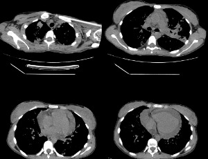
Spectrum of congenital coronary artery anomalies in hypertrophic cardiomyopathy: a systematic review
Myocardial ischemia is a frequent finding in hypertrophic cardiomyopathy (HCM) potentially resulting from microvascular dysfunction, extravascular compression, reduced coronary flow reserve, hemodynamic abnormalities, or concomitant atherosclerotic coronary artery disease (CAD). From June 1991 to October 2024, 40 congenital coronary artery anomalies (CCAA) were reported in 30 adults with HCM [age 18–87 (47.6 ± 19.7); 60% male; 37% obstructive; 20% apical variant].
Int J Cardiol Cardiovasc Dis, , p24-29
Integrative strategies combining oncolytic adenovirus, anti-PD-1, and chemotherapy in a 3D TNBC model
Triple-negative breast cancer (TNBC) is one of the most aggressive and treatment-resistant subtypes of breast cancer and is characterized by a lack of expression of estrogen receptors, progesterone receptors, and HER2, making targeted therapies ineffective [1,2]. The limited treatment options for TNBC primarily rely on chemotherapy, and while the addition of immune checkpoint inhibitors (ICIs), such as anti-PD-1 antibodies, has shown promise in other cancers, the response in TNBC has been modest [3,4]. This publication by Kuryk et al.
J Cell Mol Immunol, , p7-9
Manualized trauma-informed bereavement groups after traumatic loss: from individual psychotherapy to a structured group protocol integrating art-based containment
Background: Traumatic bereavement frequently combines grief-specific separation distress with trauma-related intrusions, avoidance, and dysregulation. A subgroup of patients develops persistent impairment consistent with prolonged grief disorder (PGD).This commentary outlines the clinical rationale and conceptual foundations of a manualized group program for bereavement after traumatic loss, integrating psychotherapeutic structure with art-based containment strategies.
Trauma Emerg Med, , p1-4
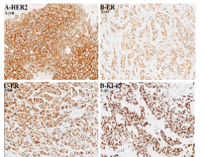
Molecular subtypes of breast cancer in Nigeria: clinicopathological insights from immunohistochemical profiling
Breast cancer remains the most frequently diagnosed malignancy among women worldwide and a leading cause of cancer-related mortality. Its burden continues to rise in low- and middle-income countries, where late presentation, limited diagnostic capacity, and uneven access to targeted therapies contribute substantially to poor outcomes.
J Cancer Biol, , p7-14
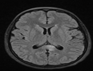
Susac syndrome in association with anti-GAD-65 antibodies
Susac syndrome is a rare autoimmune endotheliopathy characterized by encephalopathy, branch retinal artery occlusion (BRAO), and sensorineural hearing loss (SNHL). Due to its diverse presentation, it is often misdiagnosed. We report a case of a 22-year-old female with progressive neurological symptoms, hearing loss, and cognitive dysfunction. Brain MRI revealed characteristic corpus callosum “snowball” lesions, and further investigations confirmed BRAO and SNHL.
J Case Rep Clin Stud, , p8-13
Vedolizumab in Indian patients with inflammatory bowel disease: final results from a prospective, multicenter, open-label, phase 4 study
Background: There is limited data on the effectiveness and safety of vedolizumab for Indian patients, making this study the first focused evaluation of its use in this population.This prospective, multicenter, open-label phase IV study enrolled patients aged 18–65 with moderate to severe ulcerative colitis (UC) or Crohn's disease (CD), who received vedolizumab 300 mg IV at weeks 0, 2, and 6 (induction) and at weeks 14, 22, 30, 38, and 46 (maintenance).
J Clin Exp Gastroenterol, , p7-14
The cutting edge of nanotechnology in medicine: a new era of healing
Nanomedicine has become a revolutionary paradigm in recent years with the exploitation of peculiarities of nanomaterials. The innovations are opening up new avenues in specific-targeted therapy, diagnosis, and regenerative medicine, and are in effect, changing our aim of treating patients.
Arch Stem Cell Ther, , p1-2
Analysis of mutational signatures in multiple cancer studies: Recent Bayesian tools
Mutational signatures, defined as characteristic patterns of somatic mutations in cancer genomes, shed light on the mutagenic mechanisms and origins of cancer. Mutational signature analysis leverages computational techniques to identify recurring patterns within the spectrum of genetic alterations observed in tumors. Using mutational signature analysis, investigators can identify biological processes responsible for tumorigenesis.
J Cancer Biol, 2025, Volume 6, Issue 2, p108-114
Cancer of unknown primary site (CUP), practice-changing diagnosis and therapy in the molecular era: a commentary
Cancer of unknown primary (CUP) is a clinicopathological syndrome of metastatic cancers without an identifiable anatomical primary site and has remained a diagnostic and treatment enigma for decades. Clinically occult primary tumor sites have been found by autopsies in about 75% of cases from more than twenty different sites [1], but some primaries are buried deep in tissues/organs and would require thousands of blind tissue sections to find.
J Exp Mol Pathol, , p4-7
The effect of distance to exercise facilities and sociodemographic factors on pain and function among rheumatology patients
Clinical features are known to influence pain in patients, but demographic characteristics have been less studied. The aim of this cross-sectional study was to evaluate the relationship of distance to exercise facilities and other demographic factors to the pain and function score, RAPID3 (Routine Assessment of Patient Index Data) in a large rheumatology practice.
Curr Rheumatol Res, , p1-7
Physical activity and quality of life in statin users
We read with interest the article by Mert Er et al., “Physical activity and quality of life in statin users,”. The topic is clinically important given persistent concerns regarding statin-associated muscle symptoms (SAMS) and their potential impact on adherence and lifestyle behaviors. However, several conceptual and methodological considerations warrant closer examination.
J Pain Res Manag, , p28-29
Tuberculous pericarditis with cardiac tamponade in a patient receiving adalimumab
Background: Tuberculous pericarditis is a rare manifestation of tuberculosis in developed countries and poses a significant diagnostic challenge due to its nonspecific clinical presentation. Immunocompromised individuals, particularly those receiving tumor necrosis factor-alpha (TNF-α) inhibitors, are at substantially increased risk of developing tuberculosis. Therefore, screening for tuberculosis infection and active disease is essential prior to initiating biological therapy.
J Case Rep Clin Stud, , p1-7
Histamine H1 receptor: A target to treat pancreatic ductal adenocarcinoma (PDAC) by repurposing approved H1-antihistamines?
New efficacious and safe therapies are needed for patients with pancreatic ductal adenocarcinoma (PDAC), the most common type of pancreatic cancer. A bioinformatic approach comparing human PDAC tumors to normal pancreas identified differentially expressed G protein-coupled receptors (GPCRs). The GPCRs with higher differential expression in PDAC included the histamine H1 receptor (HRH1), which, on average, is ~20-fold higher expressed in PDAC tumors. HRH1 is readily targetable by approved H1-antihistamines.
Cell Signal, , p37-43
Systemic lidocaine in bariatric surgery: advances and perspectives in anesthesiology and multimodal pain management – a commentary
Patients undergoing bariatric surgery have increased vulnerability to opioid-related adverse events, making multimodal and opioid-sparing strategies a clinical priority. Evidence for perioperative systemic lidocaine in bariatric surgery is controverse; pooled benefits in meta-analyses coexist with neutral findings in some contemporary randomized trials.
J Clin Anesth Intensive Care, , p1-5
Emotion as a socially emergent structure: A formal information-theoretic model based on multi-agent interaction
Emotion has traditionally been understood as a subjective experience intrinsic to individual agents. However, the emergence of multi-agent systems, including artificial intelligence, calls for a reconceptualization of emotion as a dynamic process grounded in interaction. This paper proposes the Interacting Processual Information-based Emotive Model (IPIEM), a formal framework that defines emotion not as an intrinsic qualia within a single agent—which is philosophically treated here as an empty set—but as a set-theoretic phenomenon emergent through inter-agent information exchange and social realization.
Neurosci Chron, , p62-73
Autologous platelet-rich plasma to improve reproductive outcomes in women with diminished ovarian reserves: a prospective pilot study
To investigate if intraovarian autologous platelet-rich plasma (PRP) infusion improve ovarian reserve markers and fertility outcomes in women with diminished ovarian reserve (DOR).
J Clin Exp Reprod Med, , p1-9
Dietary exposure to neurotoxic mycotoxins in Cameroon: Implications for brain development and neurodevelopmental disorders in children
Neurodevelopmental disorders (NDDs) such as autism spectrum disorder (ASD) and attention-deficit hyperactivity disorder (ADHD) are increasingly prevalent in children globally, including Cameroon. Emerging evidence suggests that early-life exposure to environmental neurotoxins, particularly mycotoxins, may disrupt brain development and contribute to these disorders.
Neurosci Chron, , p74-83