Loading
Current Rheumatology Research
ISSN: 2693-7204
Overview of rheumatoid arthritis: Past lessons and future paths
Rheumatoid arthritis (RA) is a chronic autoimmune disorder that effects more than 1.3 million people in the United States. RA is an expensive disease that negatively impacts the patient’s quality of life. Inflammation of the synovial joints and destruction of articular cartilage and bones caused by RA can affect a patient’s ability to perform commonplace activities.
Curr Rheumatol Res, 2020, Volume Volume 1, Issue Issue 1, p1-2 | DOI: 10.46439/rheumatology.1.001
Dual targeting of plasma cells and B-cells to treat systemic lupus erythematosus
Autoimmune disorders, such as systemic lupus erythematosus, are associated with significant morbidity that is often ultimately refractory to current treatment modalities. To target the role of autoantibodies in disease pathogenesis, biologics have been designed for selective targeting of B-cells.
Curr Rheumatol Res, 2022, Volume Volume 3, Issue Issue 1, p1-3 | DOI: 10.46439/rheumatology.3.018
Non-medical switching from originators to biosimilars in patients with rheumatic disease in routine clinical care: what is the best strategy?
Rheumatoid arthritis, ankylosing spondylitis and psoriatic arthritis are common rheumatic diseases leading to irreversible joint damage and increase in mortality. The introduction of highly effective biologic drugs has resulted in substantial benefit in the treatment of these diseases, but these therapies take a high toll on healthcare systems.
Curr Rheumatol Res, 2021, Volume Volume 2, Issue Issue 1, p1-4 | DOI: 10.46439/rheumatology.2.010
The effect of distance to exercise facilities and sociodemographic factors on pain and function among rheumatology patients
Clinical features are known to influence pain in patients, but demographic characteristics have been less studied. The aim of this cross-sectional study was to evaluate the relationship of distance to exercise facilities and other demographic factors to the pain and function score, RAPID3 (Routine Assessment of Patient Index Data) in a large rheumatology practice.
Curr Rheumatol Res, Volume 6, Issue 1, p1-7
Raynaud's phenomenon in a patient with silicone implants: How far is ASIA syndrome and not mixed connective tissue disease?
Raynaud's phenomenon represents a harbinger of polyautoimmunity and although it is usually associated with systemic sclerosis, the discussion surrounding its classification in rheumatology is interesting given the current understanding of capillaroscopic findings in rheumatic diseases and improvements in immunological diagnostics.
Curr Rheumatol Res, 2024, Volume Volume 4, Issue Issue 1, p1-8 | DOI: 10.46439/rheumatology.4.021
Dense fine speckled antinuclear antibody patterns: Clinical correlations and implications
Background/Purpose: The significance of Dense Fine Speckled (DFS) pattern Anti-nuclear antibodies (ANA) by indirect mmunofluorescence (IIF) is unclear in the existing research. We aimed to investigate associations between positive ANA with DFS pattern and multiple autoimmune and rheumatic conditions.
Curr Rheumatol Res, 2025, Volume Volume 5, Issue Issue 1, p1-8 | DOI: 10.46439/rheumatology.5.027
Using Self-Hypnosis to Improve Medical Compliance: The Role of Mind Body Modalities
Integrative medicine is the new kid on the block who is here to stay. Like the new kid at recess, integrative medicine has been met by some with open arms and eagerness for introductions by some, yet frank skepticism of differences by others.
Curr Rheumatol Res, 2020, Volume Volume 1, Issue Issue 1, p3-5 | DOI: 10.46439/rheumatology.1.002
Sex differences in systemic lupus erythematosus: Epidemiology, clinical considerations, and disease pathogenesis
Systemic Lupus Erythematosus (SLE) is a chronic, multiorgan, systemic autoimmune disease that occurs more frequently in women than men and is typically diagnosed in women of reproductive age.
Curr Rheumatol Res, 2022, Volume Volume 3, Issue Issue 1, p4-7 | DOI: 10.46439/rheumatology.3.019
The effect of pharmacological treatment on rheumatoid arthritis related sarcopenia: A integrative review
Rheumatoid Arthritis (RA) is a systemic, chronic, inflammatory and erosive joint disease. Due the systemic effect mediated by increased serum pro-inflammatory cytokines, RA patients often present changes in body composition.
Curr Rheumatol Res, 2021, Volume Volume 2, Issue Issue 1, p5-11 | DOI: 10.46439/rheumatology.2.011
Acute chikungunya fever followed by systemic lupus erythematosus
Chikungunya fever (CHIKF) is a viral disease caused by the chikungunya virus (CHIKV), a single-stranded positive-sense RNA virus in the Alphavirus genus of the Togaviridae family. Like many other arboviral diseases, it is transmitted by mosquito vectors, primarily Aedes aegypti and Aedes albopictus.
Curr Rheumatol Res, 2020, Volume Volume 1, Issue Issue 1, p6-8 | DOI: 10.46439/rheumatology.1.003
Prevalence and impact of obesity in patients with rheumatoid arthritis
Rheumatoid arthritis (RA) is chronic inflammatory arthritis characterized by the inflammation of multiple joints and significant joint destruction and disability. It is the most common form of inflammatory arthritis that affects synovial joints.
Curr Rheumatol Res, 2022, Volume Volume 3, Issue Issue 1, p8-12 | DOI: 10.46439/rheumatology.3.020
The pathology and science of articular cartilage repair
The adult articular cartilage is a specialized connective tissue, devoid of blood vessels, lymphatics, and nerves, hence has a limited capacity for intrinsic healing and repair. The cartilage around the knee joint has the following forms of cartilage- hyaline/articular, fibroelastic cartilage around the meniscus and fibrocartilage at the tendon and ligament insertion into the bone.
Curr Rheumatol Res, 2024, Volume Volume 4, Issue Issue 1, p9-10 | DOI: 10.46439/rheumatology.4.022
Unraveling the diagnostic puzzle: Trio of lymphadenopathy, organomegaly, and lung nodules in cSLE
Background: Generalized lymphadenopathy with fever, pulmonary involvement, and organomegaly in children can be caused by infections, malignancies, or autoimmune disorders, with infections being the most frequent. However, childhood-onset systemic lupus erythematosus (cSLE) can present with similar features, making diagnosis challenging in the absence of classical signs.
Curr Rheumatol Res, 2025, Volume Volume 5, Issue Issue 1, p9-12 | DOI: 10.46439/rheumatology.5.028
Rheumatoid arthritis – assessments and treatment recommendations
Rheumatoid arthritis (RA) is a chronic disease of yet unknown etiology causing joint tenderness, swelling, destruction and premature death. Extraarticular manifestations such as cervical spine involvement, bursitis, tendovaginitis, rheumatoid nodules, rheumatoid vasculitis, pulmonary fibrosis, and accelerated atherosclerosis - to name a few – may occur.
Curr Rheumatol Res, 2020, Volume Volume 1, Issue Issue 1, p9-14 | DOI: 10.46439/rheumatology.1.004
35 years follow-up of primary Sjogren’s syndrome: A single center study
Primary Sjögren’s syndrome (pSS) is an autoimmune rheumatic disease characterized by a lymphocytic infiltration of exocrine glands. It mostly becomes apparent in women between 40 and 60 years old. Its clinical manifestations are heterogeneous, ranging from sicca syndrome to extra glandular manifestations.
Curr Rheumatol Res, 2024, Volume Volume 4, Issue Issue 1, p11-18 | DOI: 10.46439/rheumatology.4.023
Chikungunya: an emerging rheumatological pandemic?
Chikungunya virus (CHIKV) has recently emerged alongside Ebolavirus, Zika virus, and SARS-CoV-2 as the causative pathogen for a global pandemic. CHIKV is a single-stranded RNA alphavirus that is transmitted by Aedes species mosquitos and has spread beyond its endemic regions in East Africa and South Asia through the Indian Ocean islands, into Southern Europe, and through the Caribbean and the wider Americas.
Curr Rheumatol Res, 2021, Volume Volume 2, Issue Issue 1, p12-17 | DOI: 10.46439/rheumatology.2.012
Yao syndrome (NOD2-associated autoinflammatory disease) and the gastrointestinal tract: Future perspectives and research priorities
Yao syndrome (YAOS) is a NOD2-associated autoinflammatory disease marked by periodic fevers, dermatitis, polyarthritis, distal extremity swelling, and nearly universal gastrointestinal symptoms. A recent study was the first to comprehensively assess the gastrointestinal symptoms and manifestations of YAOS, finding that most testing is normal, without gastrointestinal mucosal inflammation, and many patients have constipation and rectal evacuation disorders.
Curr Rheumatol Res, 2025, Volume Volume 5, Issue Issue 1, p13-16 | DOI: 10.46439/rheumatology.5.029
Psoriatic arthritis and cardiovascular disease
Psoriatic arthritis (PsA) is a chronic inflammatory skeletal and dermatological disease with heterogeneous clinical features and a strong relationship with spondyloarthritis group, sharing several genetic, clinical and radiographic characteristics and with a prevalence in the western country populations around 0.07-0.42.
Curr Rheumatol Res, 2020, Volume Volume 1, Issue Issue 2, p15-16 | DOI: 10.46439/rheumatology.1.005
Diabetic myonecrosis: A review
Diabetic Myonecrosis is a rare, under-diagnosed complication of long-standing diabetes mellitus. The condition often mimics several other conditions which results in delay in diagnosis and treatment. It usually affects muscles of the lower limbs especially thighs, presenting with acute onset pain and swelling.
Curr Rheumatol Res, 2025, Volume Volume 5, Issue Issue 1, p17-21 | DOI: 10.46439/rheumatology.5.030
Nutritional interventions and supplementation for rheumatoid arthritis patients: A systematic review for clinical application, Part 1: Dieting
Rheumatoid arthritis (RA) is a chronic, autoimmune disease that is associated with local and systemic inflammation, resulting in chronic pain and physical function limitations that may negatively impact quality of life (QOL). Despite advances in pharmacological therapies, currently available treatment options may be associated with adverse events and come at a high price tag.
Curr Rheumatol Res, 2020, Volume Volume 1, Issue Issue 2, p17-26 | DOI: 10.46439/rheumatology.1.006
Therapy adherence in rheumatoid arthritis: A minireview
In the last decades there has been considerable progress in treatment, significantly improving quality of life, outcome and prognosis of rheumatoid arthritis (RA). Therapy adherence is a cornerstone of improved outcome. However, recent studies have shown that adherence may be low in a considerable percentage of patients.
Curr Rheumatol Res, 2021, Volume Volume 2, Issue Issue 1, p18-23 | DOI: 10.46439/rheumatology.2.013
Residual symptoms: Unmet needs for rheumatoid arthritis patients who achieved low clinical disease activity
Rheumatoid arthritis (RA) is one of the most common autoimmune diseases characterized by inflammatory arthritis that may lead to destruction of bone and cartilage. While the primary manifestation of RA is swollen and tender joints, it is often associated with multiple coexisting conditions such as fibromyalgia, fatigue, and malaise.
Curr Rheumatol Res, 2024, Volume Volume 4, Issue Issue 1, p19-27 | DOI: 10.46439/rheumatology.4.024
Tranexamic acid in total hip arthroplasty—Differential efficacy in inflammatory versus degenerative arthritis
Total hip arthroplasty (THA) is a cornerstone intervention for advanced hip arthritis, but perioperative blood loss poses a significant clinical challenge, often leading to increased transfusion rates, prolonged hospitalization, and higher healthcare costs. Tranexamic acid (TXA), an antifibrinolytic agent, has emerged as an effective strategy for minimizing surgical bleeding.
Curr Rheumatol Res, 2025, Volume Volume 5, Issue Issue 1, p22-26 | DOI: 10.46439/rheumatology.5.031
Membrane complement regulatory protein CD59 in systemic lupus erythematosus and rheumatoid arthritis
Complement proteins constitute a proinflammatory system of the innate immunity which bridges with the adaptive immunity. It comprises of a group of serum zymogens, complement regulatory proteins (Cregs) and receptors.
Curr Rheumatol Res, 2021, Volume Volume 2, Issue Issue 1, p24-31 | DOI: 10.46439/rheumatology.2.014
Rethinking leflunomide in rheumatoid arthritis: Can innovative drug delivery approaches open new horizons?
Leflunomide (LEF) is one of the most effective synthetic disease-modifying antirheumatic drugs (DMARD) which is widely prescribed for rheumatoid arthritis. But the safety issues of LEF makes its use compromised due to various side effects like hepatotoxicity, GIT disturbances, etc, and variable patient responses.
Curr Rheumatol Res, 2025, Volume Volume 5, Issue Issue 1, p27-30 | DOI: 10.46439/rheumatology.5.032
Nutritional interventions and supplementation for rheumatoid arthritis patients: A systematic review for clinical application, Part 2: Supplementation
Rheumatoid arthritis (RA) is a chronic autoimmune disease that is associated with local and systemic inflammation, resulting in chronic pain and physical function limitations that may negatively impact quality of life (QOL). Despite advances in pharmacological therapies, currently available treatment options may be associated with adverse events and come at a high price tag.
Curr Rheumatol Res, 2020, Volume Volume 1, Issue Issue 2, p27-38 | DOI: 10.46439/rheumatology.1.007
Exploring novel therapeutic avenues for arthritis precision medicine: The potential of mTOR-SIRT1, NRF2, GPX4 ferroptosis- and autophagy- related pathways and emerging technologies
Arthritis remains a common and debilitating disease affecting millions of people worldwide. Osteoarthritis (OA) and rheumatoid arthritis (RA) are among the most common forms of this chronic, degenerative disease, which is moving toward precision medicine.
Curr Rheumatol Res, 2024, Volume Volume 4, Issue Issue 1, p28-32 | DOI: 10.46439/rheumatology.4.025
Multicentric reticulohistiocytosis and its association with other autoimmune diseases: Review of cases from the point of view of rheumatologists
Multicentric reticulohistiocytosis (MRH) is a rare granulomatous disease manifesting by the subsequent appearance of erosive aggressive polyarthritis and typical skin papulonodular lesions. It can also affect internal organs such as the lungs, hearts in addition to rare cases of mesenteric lymphadenopathy and urogenital lesions.
Curr Rheumatol Res, 2021, Volume Volume 2, Issue Issue 2, p32-37 | DOI: 10.46439/rheumatology.2.015
Association of poverty with higher risk of fragility fractures in postmenopausal Caucasian Spanish women
Osteoporosis is a common bone disease characterized by low bone mass and altered bone microarchitecture, resulting in decreased bone strength with an increased risk of fractures. It has been well documented that dual-energy X-ray absorptiometry (DXA) provides an accurate estimate of BMD because as T-scores decrease, the relative risk for fracture increases.
Curr Rheumatol Res, 2024, Volume Volume 4, Issue Issue 1, p33-39 | DOI: 10.46439/rheumatology.4.026
Systemic sclerosis and challenges in COVID-19 pandemic
The Severe Acute Respiratory Syndrome Coronavirus 2 (SARS-CoV-2) led to a pandemic in the late 2019 and affected the worldwide population resulting in almost five million deaths and more than 200 million confirmed cases. Since the pandemic progressed, more studies shed light on the topic and researchers started speculating that comorbidities can increase the risk of adverse outcomes in COVID-19 disease.
Curr Rheumatol Res, 2021, Volume Volume 2, Issue Issue 2, p38-40 | DOI: 10.46439/rheumatology.2.016
Nutritional interventions and supplementation for rheumatoid arthritis patients: A systematic review for clinical application, part 3: Fruits and herbs
Rheumatoid arthritis (RA) is a chronic autoimmune disease that is associated with local and systemic inflammation, resulting in chronic pain and physical function limitations that may negatively impact quality of life (QOL). Despite advances in pharmacological therapies, currently available treatment options may be associated with adverse events and come at a high price tag.
Curr Rheumatol Res, 2020, Volume Volume 1, Issue Issue 2, p39-48 | DOI: 10.46439/rheumatology.1.008
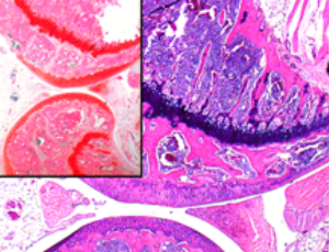
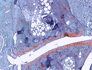
Galantamine has a positive impact on joint collagen degradation process in collagen-induced arthritis
Galantamine is an alkaloid extracted from plant bulbs of some members of the Amaryllidaceae family and is a reversible competitive inhibitor of acetylcholinesterase. GAL affects the cholinergic anti-inflammatory pathway.
Curr Rheumatol Res, 2021, Volume Volume 2, Issue Issue 2, p41-49 | DOI: 10.46439/rheumatology.2.017
Too early diagnosis of granulomatosis with polyangiitis (GPA) in the first month of initial presentation
Granulomatosis with Polyangiitis (GPA) is a systemic small sized vascular disease involving vasculitis, granuloma, and necrosis that most often targets the Ear, Nose and Throat (ENT) and/or Lungs and/or Kidneys, and it is classically associated with Anti-Neutrophil Cytoplasmic Antibody (ANCA) positivity.
Curr Rheumatol Res, 2020, Volume Volume 1, Issue Issue 2, p49-58 | DOI: 10.46439/rheumatology.1.009