Loading
Journal of Clinical and Experimental Gastroenterology
ISSN: 2833-1133
Wilkie’s syndrome, changing perspectives in image visualization
The superior mesenteric artery syndrome is an uncommon entity included in the spectrum of vascular syndromes. The low presentation, variety of unspecific symptoms, and shortage of bibliography presents a challenging diagnosis for both clinicians and radiologists. Our aim is to present a 63 years-old male patient with pancreatitis history and repeated symptoms.
J Clin Exp Gastroenterol, 2023, Volume Volume 2, Issue Issue 1, p1-3 | DOI: 10.46439/gastro.2.010
A comprehensive review of enteric duplication cysts, their pathophysiology, presentation, and treatment
Enteric duplication cysts are rare congenital malformations of the gastrointestinal tract that can be found anywhere along the entire alimentary canal. Duplication cysts share a muscular layer with the adjacent bowel and contain their own mucosal lining which may be that of any part of the alimentary tract.
J Clin Exp Gastroenterol, 2022, Volume Volume 1, Issue Issue 1, p1-4 | DOI: 10.46439/gastro.1.001
Severe Olmesartan related enteropathy - a case report and literature review
Olmesartan drug-induced enteropathy was first reported 10 years ago. Its physiopathology remains largely unknown and its evocation facing diarrhea is still not systematic, especially in cases of acute and severe diarrhea episodes. In this paper, we report the case of a 71-year-old woman presenting with acute diarrhea associated with complete duodenal mucosal villous atrophy with lymphocytic infiltration.
J Clin Exp Gastroenterol, 2024, Volume Volume 3, Issue Issue 1, p1-4 | DOI: 10.46439/gastro.3.016
Pooled fecal microbiotherapy demonstrates superior efficacy and similar safety compared to single-donor products in ulcerative colitis
Fecal Microbiota Transfer (FMT) is a procedure that has proven to be highly effective and safe for the treatment of recurrent or refractory Clostridioides difficile infection (CDI). FMT also emerges as a promising approach in other indications such as ulcerative colitis (UC) or acute graft-versus-host disease (aGvHD).
J Clin Exp Gastroenterol, 2025, Volume Volume 4, Issue Issue 1, p1-6 | DOI: 10.46439/gastro.4.022
The effect of tirofiban hydrochloride on colon anastomosis healing in hypoperfusion ischemia induced in rats
Objective: Anastomotic insufficiency in colorectal surgery can lead to serious complications and high morbidity and mortality rates. This study aimed to evaluate the effect of tirofiban hydrochloride, an antiplatelet agent, on ischemic colon anastomosis healing.A total of 21 male Wistar albino rats were randomly divided into three groups: Group A (Sham), Group B (Ischemia-Control), and Group C (Ischemia-Tirofiban).
J Clin Exp Gastroenterol, 2026, Volume Volume 5, Issue Issue 1, p1-6 | DOI: 10.46439/gastro.5.028
Outpatient management of acute uncomplicated appendicitis after laparoscopic appendectomy
Objective: This manuscript is a mini review of the outpatient management of non-complicated acute appendicitis. We reviewed the literature supporting the safety and efficacy of outpatient management of laparoscopic appendectomy in adult patients with uncomplicated acute appendicitis.
J Clin Exp Gastroenterol, 2023, Volume Volume 2, Issue Issue 1, p4-7 | DOI: 10.46439/gastro.2.011
Colonic bleeding induced by a solitary juvenile polyp
A 30-year-old woman presented with 6-month history of blood-stained stools. The patient denied a family history of colon cancer. Examination was remarkable for blood-streaked stool.
J Clin Exp Gastroenterol, 2024, Volume Volume 3, Issue Issue 1, p5-6 | DOI: 10.46439/gastro.3.017
Involvement of transient receptor potential in liver diseases
Transient receptor potential (TRP) family is a large superfamily of widely expressed ion channels. In recent years, several studies have been conducted on the mechanism of action of TRP. However, studies on the role of TRP in liver diseases are limited. In fact, TRP plays a vital role in the progression of many liver diseases, such as hepatic fibrosis, hepatocellular carcinoma, alcoholic fatty liver disease, and nonalcoholic fatty liver disease.
J Clin Exp Gastroenterol, 2022, Volume Volume 1, Issue Issue 1, p5-11 | DOI: 10.46439/gastro.1.002
Superior mesenteric vein syndrome: A rare cause of duodenal obstruction mimicking SMA syndrome – Case report and surgical management
Background: Superior Mesenteric Vein (SMV) syndrome is an extremely rare cause of duodenal obstruction, resulting from external compression of the third portion of the duodenum by the SMV against the aorta. Due to its rarity and clinical similarity to Superior Mesenteric Artery (SMA) Syndrome, SMV syndrome may be misdiagnosed.
J Clin Exp Gastroenterol, 2025, Volume Volume 4, Issue Issue 1, p7-10 | DOI: 10.46439/gastro.4.023
Vedolizumab in Indian patients with inflammatory bowel disease: final results from a prospective, multicenter, open-label, phase 4 study
Background: There is limited data on the effectiveness and safety of vedolizumab for Indian patients, making this study the first focused evaluation of its use in this population.This prospective, multicenter, open-label phase IV study enrolled patients aged 18–65 with moderate to severe ulcerative colitis (UC) or Crohn's disease (CD), who received vedolizumab 300 mg IV at weeks 0, 2, and 6 (induction) and at weeks 14, 22, 30, 38, and 46 (maintenance).
J Clin Exp Gastroenterol, 2026, Volume Volume 5, Issue Issue 1, p7-14 | DOI: 10.46439/gastro.5.029
A comprehensive review of Chinese herbal medicinal plants for the treatment of peptic ulcer disease
Introduction: Peptic ulcer disease (PUD) is the most common disease of the stomach and duodenum, which affects daily life and is associated with Helicobacter pylori and drug-induced problems. PHD occurs due to increased aggressive factors (like HCl, gastrin, pepsin, etc.) and decreased protective factors (like mucosa secretion, and prostaglandin activity). According to recent research, up to 10% of the global population suffers with PUD.
J Clin Exp Gastroenterol, 2024, Volume Volume 3, Issue Issue 1, p7-15 | DOI: 10.46439/gastro.3.018
Comparing packing and non-packing of the abscess cavity post incision and drainage of perianal abscess: A meta-analysis
Background: Pain is a very important factor in patient recovery and satisfaction. Following incision and drainage of perianal abscess, wound packing has been found to be very painful. The aim of this study is to compare packing the wound and not packing the wound after incision and drainage (I&D) of perianal abscess, taking into account recurrence rate, rate of occurrence of perianal fistula as well as post-operative pain.
J Clin Exp Gastroenterol, 2023, Volume Volume 2, Issue Issue 1, p8-13 | DOI: 10.46439/gastro.2.012
Secondary hemochromatosis: A case report with literature review
Hemochromatosis is a medical condition marked by the accumulation of too much iron in the body's tissues and organs, which leads to eventual organ fibrosis and decreased function. The most common cause of primary iron overload is genetic hemochromatosis, whereas secondary iron overload is primarily caused by β-thalassemia major and sickle cell disease, which necessitates prolonged transfusion therapy and causes transfusional hemosiderosis.
J Clin Exp Gastroenterol, 2025, Volume Volume 4, Issue Issue 1, p11-14 | DOI: 10.46439/gastro.4.024
A rarely reported surgical problem: spontaneous scrotal enterocutaneous fistula
Spontaneous scrotal enterocutaneous fistulas (ECFs) are rare. They are more common in countries with poor access to medical care. Based on our literature search, our patients represent the first two reported adult cases of scrotal ECFs in the United States.
J Clin Exp Gastroenterol, 2022, Volume Volume 1, Issue Issue 1, p12-16 | DOI: 10.46439/gastro.1.003
Vedolizumab has no effect on the course of non-alcoholic fatty liver disease: A retrospective cohort analysis
Background and Aim: Non-Alcoholic Fatty Liver Disease (NAFLD) is the commonest cause of chronic liver disease and is a leading cause of liver transplantation in the United States, with no approved medication to halt or reverse its progression. Recent animal-model prospective trial-suggested that drug Vedolizumab leads to improvement and reversal in the NAFLD-related metabolic derangements. Vedolizumab is an α4β7 integrin-inhibitor that is approved for use in IBD patients. Our study aims to understand Vedolizumab's impact on the course of NAFLD in inflammatory bowel disease (IBD) patients.
J Clin Exp Gastroenterol, 2023, Volume Volume 2, Issue Issue 1, p14-18 | DOI: 10.46439/gastro.2.013
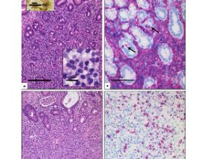
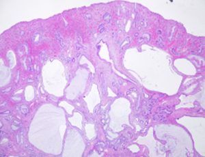
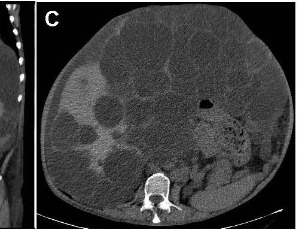
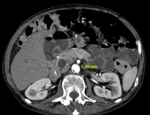
Polycystic liver in autosomal dominant polycystic kidney disease
A 61-year-old man presented for routine health checkup. The patient was asymptomatic. His medical history was autosomal dominant polycystic kidney disease (ADPKD). Laboratory results and urinalysis were unremarkable. Abdominal computed tomography showed innumerable hepatic cysts of different sizes and diffuse small renal cysts (Figures 1A-1C). Polycystic
J Clin Exp Gastroenterol, 2025, Volume Volume 4, Issue Issue 1, p15-16 | DOI: 10.46439/gastro.4.025
Selenium-modified natural polysaccharides: bridging preclinical antioxidant mechanisms to clinical translation in hepatic fibrosis and related gastroenterological disorders
Liver fibrosis represents a critical convergence point in gastroenterological practice, serving as the common pathway from chronic injury—whether metabolic (MASLD/MASH), alcoholic, viral, or drug-induced—to cirrhosis and hepatocellular carcinoma. Globally, cirrhosis and chronic liver disease account for over 1.5 million deaths annually, with MASLD now the leading indication for liver transplantation in many regions.
J Clin Exp Gastroenterol, Volume 5, Issue 1, p15-22
A comparison of endoscopic ultrasoundguided fine needle aspiration and fine needle biopsy for pancreatic masses, gastrointestinal subepithelial lesions, and lymph nodes
Background: Endoscopic ultrasound-guided tissue acquisition (EUS-TA) is a well-established diagnostic tool to obtain tissue from solid pancreatic masses, gastrointestinal subepithelial lesions, lymph nodes, liver as well as other neighboring organs. EUS-TA has proven to have a major clinical impact in diagnosis and staging, decreasing the need for invasive diagnostic procedures, such as thoracoscopy, mediastinoscopy, laparoscopy and open surgery.
J Clin Exp Gastroenterol, 2024, Volume Volume 3, Issue Issue 1, p16-20 | DOI: 10.46439/gastro.3.019
Gastric marginal zone B-cell lymphoma of MALT type – An updated histo- and molecular pathological summary
Gastric marginal zone lymphoma (gMZBL) is the most frequent type of extranodal marginal zone lymphoma of mucosa-associated lymphoid tissue (MALT). The histology of gMZBL shows typical small cell morphology, however, there also exists a large cell variant.
J Clin Exp Gastroenterol, 2022, Volume Volume 1, Issue Issue 1, p17-21 | DOI: 10.46439/gastro.1.004
Advancing liver disease treatment: The promise of phytotherapy and hepatic stellate cell modulation
Liver diseases, such as cirrhosis and hepatocellular carcinoma (HCC), significantly contribute to global mortality rates, with increasing cases associated with hepatitis viruses, alcohol-related liver disease, and non-alcoholic fatty liver disease (NAFLD). Conventional treatments often encounter limitations due to side effects, high costs, and incomplete efficacy, highlighting the need for alternative therapeutic strategies.
J Clin Exp Gastroenterol, 2025, Volume Volume 4, Issue Issue 1, p17-21 | DOI: 10.46439/gastro.4.026
Cognitive behavioral therapy for comorbid pediatric functional gastrointestinal disorders and anxiety: Systematic review and clinical applications
Pediatric Functional Gastrointestinal Disorders (p-FGID) comprise one of the most common chronic conditions impacting global health. Conceptualized as gut-brain communication disorders, p-FGID are often exacerbated by and contribute to significant anxiety as well as functional impairment. Cognitive behavioral therapy is the gold standard psychosocial treatment for anxiety spectrum disorders.
J Clin Exp Gastroenterol, 2023, Volume Volume 2, Issue Issue 1, p19-26 | DOI: 10.46439/gastro.2.014
Digital pathology... Review of the current scenario
Histopathology, defined as study of diseased cells and tissues is the science dealing with the study of biopsies and tissues under the microscope to form a possible diagnosis based on the morphology of the cells and surrounding tissues [1].
J Clin Exp Gastroenterol, 2024, Volume Volume 3, Issue Issue 1, p21-23 | DOI: 10.46439/gastro.3.020
Ischemic colitis as a cause of severe hematochezia: A mini review
Ischemic colitis (IC) is a common cause of severe lower gastrointestinal bleeding (LGIB) in the elderly. There are very few studies of patients with IC as a cause of severe LGIB in the literature. This article aims to review diagnosis, colonoscopic findings, medical treatment, and outcomes of patients with IC as a cause of severe hematochezia.
J Clin Exp Gastroenterol, 2022, Volume Volume 1, Issue Issue 1, p22-26 | DOI: 10.46439/gastro.1.005
Sister Mary Joseph nodule in pregnancy-associated signet ring cell carcinoma
Gastric cancer is the sixth most common malignancy worldwide and is associated with substantial morbidity and mortality. A 32-year-old woman was diagnosed with stage IV signet-ring cell gastric adenocarcinoma with peritoneal carcinomatosis, a Sister Mary Joseph nodule, and rare diffuse colonic metastases.
J Clin Exp Gastroenterol, 2025, Volume Volume 4, Issue Issue 1, p22-27 | DOI: 10.46439/gastro.4.027
Racial/ethnic differences in colorectal cancer screening recommendation in the United States in 2021
Background: There were well-known racial/ethnic differences in colorectal cancer (CRC) screening in the United States (US).
Aims: To study the rate of CRC screening recommendation for individuals not up-to-date on screening and whether there were racial/ethnic differences in recommendation.
Data and Methods: All adults 50 to 75 years old in the 2021 National Health Interview Survey who were not up-to-date on CRC screening were included. The rate of CRC screening recommendation in the past 12 months was calculated for non-Hispanic Whites, Blacks/African Americans, Hispanics, and Asians respectively. Multivariate logistic regression was used to examine racial/ethnic differences in CRC screening recommendation, controlling for demographic and socioeconomic variables (age, sex, immigrant, college education and insured).
Primary gastric mucormycosis
Primary gastric mucormycosis is a rare but potentially lethal fungal infection due to the invasion of Mucorales into the gastric mucosa. It may result in high mortality due to increased risk of complications in immunocompromised patients. Common predisposing risk factors to develop gastric mucormycosis are prolonged uncontrolled diabetes mellitus, solid organ, or stem cell transplantation, underlying hematologic malignancy, and major trauma.
J Clin Exp Gastroenterol, 2023, Volume Volume 2, Issue Issue 1, p27-30 | DOI: 10.46439/gastro.2.015
Tubercular appendicitis
Tuberculosis of the appendix is a rare finding despite the high frequency of intestinal tuberculosis. Even in areas where tuberculosis is common, it is difficult to make the right diagnosis because of the clinical picture mimicking acute appendicitis, when there are no definitive signs of any system infected with tuberculosis [1].
J Clin Exp Gastroenterol, 2022, Volume Volume 1, Issue Issue 1, p35-36 | DOI: 10.46439/gastro.1.007
Genetic mutations in the molecular pathogenesis of gastrointestinal stromal tumor
Gastrointestinal stromal tumors are mesenchymal tumors which predominantly originate from the interstitial cells of Cajal in the intestinal lining. Around ~85% of malignant GISTs possess activating mutations in the tyrosine kinase receptors KIT or PDGFRA. The driver mutations in genes other than KIT or PDGFRA account for around 15% GISTs and belong to highly heterogeneous groups called wild-type GISTs. Around 20–40% of WT-GISTS are deficient for the succinate dehydrogenase complex (SDHA, SDHB, SDHC, SDHD).
J Clin Exp Gastroenterol, 2022, Volume Volume 1, Issue Issue 1, p37-44 | DOI: 10.46439/gastro.1.008
A mini-review of the associations between hypertension and risk of gallstone disease
A series of studies suggested that hypertension is significantly associated with the risk of gallstone disease (GSD). However, due to differences in study design, population stratification, sample size, and diagnostic criteria for GSD, the results of each study are inconsistent, limiting the strength and application of these pieces of evidence.
J Clin Exp Gastroenterol, 2022, Volume Volume 1, Issue Issue 1, p45-52 | DOI: 10.46439/gastro.1.009