Loading
Journal of Biomed Research
ISSN: 2693-5910
Knowledge of nutrition in sports science students of Chittagong University
The study of nutrition dates back to over 200 years; however, sports nutrition is a relatively new discipline involving the application of nutritional principles to enhance athletic performance. Nutrition affects a sportsman in many ways. At the basic level, it plays an important role in achieving and maintaining health.
J Biomed Res, 2024, Volume Volume 5, Issue Issue 1 | DOI: 10.46439/biomedres.5.039
Review on main vector and trypanosomosis control methods and future impact of the disease in economically vulnerable ethiopian farmers
Before the discovery of insecticide chemicals most of the time the rural community living in tsetse belt areas were forced to conduct bush clearing using fires, destroy forests and forest galleries for the well-being of their and their animal’s health. Tsetse flies are vectors of trypanosomes transmitting the disease called Nagana in cattle and sleeping sickness in human in these Glossina infested or belt areas.
J Biomed Res, 2021, Volume Volume 2, Issue Issue 1, p1-2 | DOI: 10.46439/biomedres.2.007
Syndrome similar to Familial Hypocalciuric Hypercalcemia (FHH) produced in mice deleted of the gene encoding transient receptor potential canonical channel 1 (TRPC1)
We recently found that global deletion of TRPC1 produces phenotypes similar to FHH. These TRPC1 null mice have mildly elevated serum Ca in both fasted and unfasted conditions from 3.5 through 21.5 months of age, and inappropriately elevated parathyroid hormone (PTH) levels. They also have hypocalciuria, similar to FHH patients.
J Biomed Res, 2022, Volume Volume 3, Issue Issue 1, p1-2 | DOI: 10.46439/biomedres.3.016
Pre-school hilly and forest-dense ethnic children nutrition
Child under nutrition is a serious issue and burning public health problem worldwide. Pre-school children usually require special care. It is evident that pre-school children suffer highest prevalence of mortality and sufferings of disease. If malnutrition starts in early stages of life it is difficult to recover. According to World Health Organization under nutrition of children requires immediate attention.
J Biomed Res, 2020, Volume Volume 1, Issue Issue 1, p1-5 | DOI: 10.46439/biomedres.1.001
Digital workflow for high-risk, low-volume procedure simulation
For thousands of years, simulations have been used by doctors for training before performing high-risk procedures on patients. Due to changes in healthcare and academic environments, as well as the introduction of new technologies, we have seen an increase in the use of simulation for education and competency assessment.
J Biomed Res, 2023, Volume Volume 4, Issue Issue 1, p1-7 | DOI: 10.46439/biomedres.4.27
Evidence-based educational algorithm “Anki” for optimization of medical education
Anki is an open-sourced educational platform that utilizes a spaced repetition-based algorithm for information retention. This application has become increasingly popular among medical students and residents over recent years. The aim of this review was to describe this novel education technique, provide reasons for its adoption, and summarize the available literature regarding the efficacy of this method.
J Biomed Res, 2024, Volume Volume 5, Issue Issue 1, p1-7 | DOI: 10.46439/biomedres.5.037
Tsetse fly management and trypanosomiasis control strategies in Ethiopia
Animal trypanosomiasis, caused by protozoan parasites of the genus Trypanosoma, is a major constraint to livestock production in sub-Saharan Africa, including Ethiopia. The disease, primarily transmitted by tsetse flies (Glossina spp.), leads to anemia, weight loss, reduced milk and meat production, infertility, and mortality in affected animals, causing significant socio-economic losses.
J Biomed Res, 2026, Volume Volume 7, Issue Issue 1, p1-8
Non-invasive optical brain pulse monitoring: Experience from the first 195 patients
Continuous, non-invasive optical brain pulse monitoring (OBPM; Cyban Pty. Ltd., Melbourne, Australia) represents a significant advancement in the field of neurological monitoring. OBP monitoring uses red and infrared light sources to capture cardiac and respiratory waves from brain pulse waveforms, which reflect changes in both brain oxygen levels and brain movement.
J Biomed Res, 2025, Volume Volume 6, Issue Issue 1, p1-10 | DOI: 10.46439/biomedres.6.055
A longing for flawless awakening from general anesthesia
Anesthetic recovery can be a critical period since neurocognitive problems such as agitation and delirium are often seen during the early recovery phase. We recently demonstrated that an α2-adrenergic agonist dexmedetomidine-induced unconsciousness and accompanying brain dynamics changes were completely and instantly reversed by the α2-adrenergic antagonist in the nonhuman primate model.
J Biomed Res, 2022, Volume Volume 3, Issue Issue 1, p3-5 | DOI: 10.46439/biomedres.3.017
Short comment on COVID-19 pandemic in Mongolia
Mongolia is located between Russia to the north and China to the south, where it neighbors the Inner Mongolia Autonomous Region. The total population in Mongolia is about 3.3 million and nearly half of the people live in the capital, Ulaanbaatar, and in other provincial centers.
J Biomed Res, 2020, Volume Volume 1, Issue Issue 1, p6-6 | DOI: 10.46439/biomedres.1.002
The ergogenic supplements recommendations also apply to the elite soccer player
Whilst the performance enhancement effects of ergogenic supplements have been well-established, there are only limited reports for their use in the training and performance evaluation in soccer players. Here, we summarize the results through literature research and present them in a more abstracted form for the scientific community.
J Biomed Res, 2022, Volume Volume 3, Issue Issue 1, p6-7 | DOI: 10.46439/biomedres.3.018
Complementary examinations of TMJ: A challenge!
One of the major problems in diagnosing and interpreting symptoms at TMD is the difficulty of properly visualizing and understanding what is happening within them. This is due to the fact that this complex structure includes hard tissues (bone) and soft tissues (disc, ligaments, synovial membrane). These structures have different densities and are difficult to visualize with a single imaging technique (exploration).
J Biomed Res, 2020, Volume Volume 1, Issue Issue 1, p7-11 | DOI: 10.46439/biomedres.1.003
Blending into the crowd: electrophysiological evidence of gestalt perception of a human dyad: extended discussion and theoretical viewpoint
In this commentary, we provide further discussion and interpretation of a recent article entitled “Blending into the Crowd: Electrophysiological Evidence of Gestalt Perception of a Human Dyad”, published one year ago by the first author of the present commentary. Firstly, drawing a parallel between the experiment described in the above article and another closely comparable experimental study, we propose that the neural integration process evidenced when seeing two human shapes close in space is a marker of the categorization of a stimulus as a group of humans (two here) represented as an entity per se.
J Biomed Res, 2022, Volume Volume 3, Issue Issue 1, p8-10 | DOI: 10.46439/biomedres.3.019
A brief review of industrial fluorosis in domesticated bovines in India: Focus on its socio-economic impacts on livestock farmers
An excessive and repeated high fluoride exposure over a long period of time is harmful to the health of humans and domestic animals and causes several toxic effects in the form of fluorosis disease. If fluoride exposure is due to industrial fluoride, the disease is known as industrial fluorosis. In recent years, due to rapid industrialization in India, various health problems are increasing continuously among domesticated bovine animals, cattle (Bos taurus) feed and water buffalo (Bubalus bubalis) living and grazing in industrial areas due to industrial fluoride pollution.
J Biomed Res, 2023, Volume Volume 4, Issue Issue 1, p8-15 | DOI: 10.46439/biomedres.4.028
Gender difference in nutritional knowledge, dietary pattern, and nutritional status of undergraduates in Tartous University, Syria
The adolescent and young adulthood frames of life offer a crucial window of opportunity for health promotion and disease prevention. At this stage, individuals are free from the influence of parents and take personal decisions on food choices and other lifestyle habits.
J Biomed Res, 2024, Volume Volume 5, Issue Issue 1, p8-16 | DOI: 10.46439/biomedres.5.038
Extracts from Nicotiana glauca as a therapeutic strategy against rhabdomyosarcoma
Rhabdomyosarcoma (RMS) is a type of soft tissue sarcoma, which commonly appears in the head, neck, genitourinary region and extremities. RMS is believed to originate due to alterations in the growth and activity of immature precursor muscle cells, preventing their differentiation into skeletal muscle cells and thus acquiring malignant potential.
J Biomed Res, 2026, Volume Volume 7, Issue Issue 1, p9-11
Blinding uveitis induced by secukinumab: A case-based review
Secukinumab, a human monoclonal antibody targeting interleukin-17A (IL-17A), is widely used for treating immunoinflammatory disorders. While effective, drug-induced uveitis (DIU) is a rare but serious adverse effect associated with biologic medications like TNF-α inhibitors and more recently, IL-17 inhibitors such as secukinumab. We present a case of posterior uveitis in a 42-year-old male with AS who developed ocular symptoms two years after starting secukinumab.
J Biomed Res, 2025, Volume Volume 6, Issue Issue 1, p11-16 | DOI: 10.46439/biomedres.6.056
Human and Earth evolution through CO2: Perspective for climate crisis
Although human civilization has developed through genomic evolution, including its fingernail-functional cooperation, the daily lives of humans have resulted in a significant amount of carbon dioxide (CO2) being released into the atmosphere since the Industrial Revolution, which started almost 200 years ago. Recently, climate change has been documented to have spread globally.
J Biomed Res, 2022, Volume Volume 3, Issue Issue 1, p11-17 | DOI: 10.46439/biomedres.3.020
Acute type A aortic dissection in a patient testing positive for Influenza A
Acute Type A aortic dissection (ATAAD) is a life-threatening condition, leading to rapid fatality if not promptly treated. The risk for Type A aortic dissection is increased in patients with preexisting thoracic aortic aneurysms, but specific triggering events leading to acute aortic dissection are incompletely understood. Our recent research suggests that influenza may be a risk factor for ATAAD by demonstrating a relationship between regional influenza activity and hospital admissions for ATAAD.
J Biomed Res, 2020, Volume Volume 1, Issue Issue 1, p12-16 | DOI: 10.46439/biomedres.1.004
Molecular network regulation and precision therapy frontiers in osteoarthritis: from ferroptosis to autophagy metabolic reprogramming
Osteoarthritis (OA), the most prevalent degenerative joint disease, involves intricate molecular interactions across joint tissues. This review highlights advancements in understanding OA pathogenesis, focusing on the ferroptosis-autophagy axis and the therapeutic potential of Coenzyme Q10 (CoQ10).
J Biomed Res, 2026, Volume Volume 7, Issue Issue 1, p13-16
The high-performance youth soccer players carbohydrate ingestion does not seem to change between base categories
Youth soccer players undergo a maturational changes which result in physiological, anatomical, and biological changes during adolescence. During seven years of follow-up, it was observed that in youth soccer, the sprint distance and number of sprints increased by ~35%, whereas the number of high-intensity actions increased by ~50%.
J Biomed Res, 2023, Volume Volume 4, Issue Issue 1, p16-17 | DOI: 10.46439/biomedres.4.029
Attaining highest honors: A study proposal for the medical student’s honors bar expectancy and values changes within medical education
Expectancy-Value theory was originally proposed by John William Atkinson in the 1950s and 60s as an attempt to understand different behaviors of students including persistence, decision making when given multiple opportunities to choose from, and the effort of striving for success.
J Biomed Res, 2021, Volume Volume 2, Issue Issue 1, p16-21 | DOI: 10.46439/biomedres.2.008
Role of cellular, acellular and matrix-like products (CAMPs) in wound bed preparation in diabetic foot
Diabetic foot ulcers account for 70-80% of all ulcer cases, with this proportion rising to 21–27% in developing countries. The associated mortality rate ranges from 3.75% to 58.8%.
J Biomed Res, 2025, Volume Volume 6, Issue Issue 1, p17-19 | DOI: 10.46439/biomedres.6.057
Bovine mastitis: causopathology, diagnosis, treatment, and patho-pathogenesis
Mastitis is an inflammatory disease of the bovine mammary gland caused by bacterial, viral, fungal, or parasitic infections, with pathogens primarily entering through the teat canal. Once established, they proliferate and evade host immunity, triggering complex immunological cascades mediated by bacterial toxins, proteins, and immunomodulators, which can result in increased somatic cell counts, vascular permeability, fibrosis, and systemic toxemia in severe cases.
J Biomed Res, 2026, Volume Volume 7, Issue Issue 1, p17-24
COVID-19 vaccination, disease severity and practice when COVID turns from endemic to epidemic disease
The most significant global public health issue is still COVID-19. Due to the advent of a new variation and the widespread use of COVID-19 immunization, the disease is currently not as severe as it was in 2020. The immunization is still required, though. Here, the authors examine and offer suggestions for COVID-19 immunization as the illness transitions from an epidemic to an endemic condition.
J Biomed Res, 2023, Volume Volume 4, Issue Issue 1, p18-19 | DOI: 10.46439/biomedres.4.030
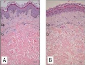
Could in vivo histological and gene expression analysis of aged skin be useful for pointing new paths for cosmetics development?
Skin aging is related to intrinsic or chronological and extrinsic or environmental factors. Oxidative stress, with generation of Reactive Oxygen Species (ROS), occurs during oxidative cell metabolism, mostly on mitochondria, and it is aggravated by chronic exposition to Ultra-Violet (UV)B (short wavelength) and UVA (long wavelength) sun radiations.
J Biomed Res, 2022, Volume Volume 3, Issue Issue 1, p18-23 | DOI: 10.46439/biomedres.3.021
On a match day, what should an elite soccer players routine look like?
Many questions arise from what may or may not be applicable for an elite soccer player to do during the competitive match day. Currently, we know that athletes are concentrated in hotels and there they receive all the food for the day, i.e., the match day diet. Besides that, the supplementation is usually offered at the stadium.
J Biomed Res, 2023, Volume Volume 4, Issue Issue 1, p20-21 | DOI: 10.46439/biomedres.4.031
Clinical insights and research needs in atezolizumab induced neurotoxicity
In recent years, immune checkpoint inhibitors (ICIs) have transformed the scope of cancer treatment. Atezolizumab, is a humanized monoclonal antibody that specifically targets programmed death-ligand 1 (PD-L1) to block its interaction with PD-1 and B7-1 receptors, thereby reinstating T cell response.
J Biomed Res, 2025, Volume Volume 6, Issue Issue 1, p20-25 | DOI: 10.46439/biomedres.6.058
Recent advances in pediatric telemedicine
Telemedicine is a medical service, which is offered across a spatial distance. Doctors and patients use digital tools such as apps, teleconsultation platforms or video technology. There is currently no uniform and generally applicable definition of telemedicine. In the broadest sense it is understood to mean the overcoming of temporal and spatial distances in the context of medical issues.
J Biomed Res, 2023, Volume Volume 4, Issue Issue 1, p22-24 | DOI: 10.46439/biomedres.4.032
Perceived sensory dimensions: Key aesthetic qualities for health-promoting urban green spaces
The importance of urban green areas to support people’s health and wellbeing has been confirmed by many studies [1]. In addition to regulating functions regarding water, air, and climate, urban green spaces can also contribute through psychologically driven pathways to, e.g., aid restoration from stress and attention fatigue and to promote physical activity (ibid.).
J Biomed Res, 2021, Volume Volume 2, Issue Issue 1, p22-29 | DOI: 10.46439/biomedres.2.009
Prognostic impact of mildly decreased renal function after multivessel coronary revascularization: A mini-review
Cardiovascular disease is a major cause of morbidity and mortality in patients with chronic kidney disease (CKD). Such cardiovascular risk is not limited to those with advanced renal disease, as even patients with early stages of renal dysfunction show increased risk of cardiovascular morbidity and mortality.
J Biomed Res, 2022, Volume Volume 3, Issue Issue 1, p24-29 | DOI: 10.46439/biomedres.3.022
Comparative study on chitin content of Bangladeshi edible and medicinal mushrooms
Chitin provides immense beneficial roles to the humanity and environment. Most of the chitin extracted worldwide are from the shell of the crustaceans. An alternative source of chitin has been observed as the number of crustaceans has been dilapidating. Here, extraction of chitin from the edible and medicinal macrofungi, mushrooms, have been described.
J Biomed Res, 2023, Volume Volume 4, Issue Issue 1, p25-28 | DOI: 10.46439/biomedres.4.033
Successful management of odontogenic maxillary sinusitis and Subclinical oroantral communication post dental implant using combined endoscopic and Caldwell Luc approach: a case report
Objective: To successfully manage odontogenic maxillary sinusitis & subclinical oroantral communication post dental implant, using combined endoscopic & Caldwell Luc approach without removing dental implant.
J Biomed Res, 2026, Volume Volume 7, Issue Issue 1, p25-29
Insights into the chemical composition, nutritional value, and pharmacological activities of Nelumbo nucifera Gaertn
Nelumbo nucifera Gaertn (NNG), commonly known as lotus, holds significant importance in traditional medicine due to its diverse pharmacological activities. This appraisal provides an updated overview of the chemical composition, nutritional value, and pharmacological activities of Nelumbo nucifera Gaertn in the context of metabolic diseases.
J Biomed Res, 2024, Volume Volume 5, Issue Issue 1, p26-28 | DOI: 10.46439/biomedres.5.040
The pathogenetic roles of arachidonate 5-lipoxygenase, xanthine oxidase and hyaluronidase in inflammatory diseases: A review
Inflammation is a complex biological process essential for protecting the body from harmful stimuli. However, dysregulated or chronic inflammation can contribute to the pathogenesis of various diseases, including asthma, rheumatoid arthritis, and gout. Pro-inflammatory enzymes, such as arachidonate 5-lipoxygenase (A5-LOX), xanthine oxidase, and hyaluronidase, play key roles in the initiation, progression, and resolution of inflammation.
J Biomed Res, 2025, Volume Volume 6, Issue Issue 1, p26-31 | DOI: 10.46439/biomedres.6.060
Chronic fluoride poisoning in domestic equines, horses (Equus caballus) and donkeys (Equus asinus)
Repeated chronic fluoride (F) exposure for prolonged duration through water, air, and food causes F poisoning in the form of fluorosis in both humans and domestic and wild animals. However, among domestic equine animals, horses (Equus caballus) and donkeys (Equus asinus), chronic F poisoning caused by industrial fluoride pollution and fluoridated drinking water has been well studied.
J Biomed Res, 2023, Volume Volume 4, Issue Issue 1, p29-32 | DOI: 10.46439/biomedres.4.034
Recent developments in the diagnosis, treatment, and management of cardiovascular diseases through artificial intelligence and other innovative approaches
Cardiovascular diseases (CVDs) remain a leading cause of morbidity and mortality worldwide, and early diagnosis, treatment, and management are essential for reducing the burden of these diseases. This systematic review provides an update on recent developments in the field of CVDs, including the use of artificial intelligence (AI) in diagnosis and management, advances in genetic testing and precision medicine, the role of telemedicine and remote monitoring technologies, novel therapies such as gene therapy and cell therapy, and the importance of addressing mental health in the prevention and management of CVDs.
J Biomed Res, 2024, Volume Volume 5, Issue Issue 1, p29-40 | DOI: 10.46439/biomedres.5.041
Adjusting the carbohydrates consumption and improving specific-soccer skills
Clearly, elite soccer athletes can lose performance as the time matches comes to an end, due to fatigue, match intensity, dehydration, and also, oftentimes, due to poor nutrition or poor supply of energy through carbohydrates.
J Biomed Res, 2021, Volume Volume 2, Issue Issue 1, p30-31 | DOI: 10.46439/biomedres.2.010
The living bridge - applications of physiological principles in biomedicine
In the ever-evolving landscape of biomedicine, physiology continues to act as the quiet architect behind many transformative advances. While molecular biology often captures attention and technology impresses with precision, physiology offers the deeper narrative of how life actually unfolds within the human body.
J Biomed Res, 2026, Volume Volume 7, Issue Issue 1, p30-31
Utilizing wheat arabinoxylans as a potent functional biomaterial for fabrication of hydrogels: A mini review
Arabinoxylans (AXs) are the major structural cell wall component of various cereal brans. As an important dietary fiber source, AXs contain ferulic acids, proteins and other functional ester compounds. These functional components offer AXs well-established health benefits, such as prebiotic effect, antioxidant property, antitumor activity and immunomodulatory property.
J Biomed Res, 2022, Volume Volume 3, Issue Issue 1, p30-36 | DOI: 10.46439/biomedres.3.023
Video recorded neonaticide by Takin parturients
The conspecific killing of offspring by nonparental individuals occurs broadly in the animal kingdom, from invertebrates to mammals. It includes neonaticide if a neonate is killed on the first day of the birth, and infanticide if such tragedy occurs in the first year of life. As for the occurrences in mammals, they have been recorded on the rodents, artiodactyls (even-toed ungulates), carnivores, perissodactyls (odd-toed ungulates), and primates.
J Biomed Res, 2021, Volume Volume 2, Issue Issue 1, p32-34 | DOI: 10.46439/biomedres.2.011
Skin necrosis following dobutamine extravasation
Dobutamine is a synthetic catecholamine with activity on both alpha-1 and beta-2 adrenoceptors. It is used intravenously as an inotropic agent for short term treatment of heart failure. Dobutamine side effects involve usually cardiovascular system. Cutaneous side effects such as inflammation in the administration site following accidental extravasation could occur. Skin necrosis from intravenous soft tissue infiltration is a rare but serious complication of intravenous therapy. Herein we report a rare case of a local skin necrosis in dobutamine infusion site.
J Biomed Res, 2025, Volume Volume 6, Issue Issue 1, p32-34 | DOI: 10.46439/biomedres.6.059
Reimagining psychiatric classification in the age of Big Data
Mental health diagnosis is undergoing a quiet but decisive transformation, one that reflects both the strengths and the limits of the systems that have guided psychiatry for more than half a century. For decades, structured diagnostic manuals provided a shared language for clinicians, researchers, and institutions, allowing a field once marked by inconsistency to establish a degree of coherence and legitimacy.
J Biomed Res, 2026, Volume Volume 7, Issue Issue 1, p32-35
Experimental autoimmune encephalomyelitis of mice: Catalytic cross site-specific hydrolysis of H1 histone by IgG antibodies against H1, H2A, H2B, H3, H4 histones, and myelin basic protein
Histones and their different modified forms are extremely important in chromatin functioning. Free extracellular histone molecules, however, usually act as damage factors. Treatment of experimental mice with exogenous histones results in systemic toxic responses because of inflammatory reactions and activation of Toll-like receptors
J Biomed Res, 2023, Volume Volume 4, Issue Issue 1, p33-60 | DOI: 10.46439/biomedres.4.035
The biomedical implications of living off-Earth
Not long ago, the prospect of humans living off-Earth seemed like science fiction. In sixty years of human space flight, fewer than 600 people have been to low Earth orbit, and just 12 have stood on the surface of another world. The cost and difficulty of liberating humans from the grip of gravity put dreams of living off-Earth on ice. Yet that is rapidly changing [1]. Space entrepreneurs Elon Musk and Jeff Bezos are perfecting reusable rockets that can ferry people more frequently and cheaply into orbit, and Musk’s company Space-X has announced plans for a large rocket to ferry people to Mars.
J Biomed Res, 2021, Volume Volume 2, Issue Issue 2, p35-37 | DOI: 10.46439//biomedres.2.012
Ultrasound guided caudal block for post operative analgesia in adult perineal surgeries; comparison of Ropivacaine versus Ropivacaine and Dexamethasone - a prospective randomized double blinded study
Background and aims: Caudal epidural block is a commonly used technique for perineal surgeries in children. It is also used for chronic pain management in adults. Due to anatomical changes and variation, failure rate of caudal block in adults is very high with conventional landmark guided technique even in experienced hands.
J Biomed Res, Volume 7, Issue 1, p36-40
Wide-field photoacoustic imaging in a snap with a single-element detector
Photoacoustic imaging has increasing biomedical applications, from fundamental research to clinical translations, due to its high optical absorption contrast and high acoustic resolution in deep tissue. The current implementations of photoacoustic imaging employ either a multi-element ultrasonic array for parallel signal detection or raster-scanning of a single-element detector for serial data acquisition, demanding a trade-off between throughput and cost.
J Biomed Res, 2022, Volume Volume 3, Issue Issue 1, p37-41 | DOI: 10.46439/biomedres.3.024
The relationship between poor oral health and poor general health in Indigenous and non-Indigenous peoples
It is impossible to conceive of oral health outside of general health. Evidence suggests that both the short- and long-term systemic diseases are associated with poor oral health, including diabetes, cardiovascular disease, renal disease, respiratory disease in particular for chronic obstructive pulmonary disease (COPD), osteoporosis and Alzheimer’s disease.
J Biomed Res, 2021, Volume Volume 2, Issue Issue 2, p38-44 | DOI: 10.46439/biomedres.2.013
Interaction effects of FTO polymorphisms on post-surgery weight, and post-BMI after bariatric surgery
Obesity is associated with increased morbidity and mortality and is a risk factor for cardiovascular disease. Therefore, preventing and treating obesity has become a major public health goal. Bariatric surgery is considered the intervention most effective for patients with severe obesity (BMI ≥40 kg/m2 or ≥35 kg/m2) with comorbidities and to maintain weight loss and glycemic control in the long-term.
J Biomed Res, 2025, Volume Volume 6, Issue Issue 1, p40-44 | DOI: 10.46439/biomedres.6.062
Transforming glomerulonephritis care through emerging diagnostics and therapeutics
Glomerulonephritis refers to inflammation and injury of the glomeruli, the tiny filtration units within the kidneys. It can arise from various causes like infections, autoimmunity, and genetic factors, and may be acute or chronic. Symptoms include blood and protein in the urine, high blood pressure, and swelling, though manifestations differ.
J Biomed Res, 2024, Volume Volume 5, Issue Issue 1, p41-52 | DOI: 10.46439/biomedres.5.043
Racial underrepresentation in dermatological datasets leads to biased machine learning models and inequitable healthcare
Modern advances in artificial intelligence are phenomenal as trained machine learning models are learning to solve humanities greatest problems. In addition to the many technical problems machine learning models are attempting to solve, there is a plethora of research on the possible clinical applications of machine learning.
J Biomed Res, 2022, Volume Volume 3, Issue Issue 1, p42-47 | DOI: 10.46439/biomedres.3.025
Commentary: SARS-CoV-2 new variants: Characteristic features and impact on the efficacy of different vaccines
A recent article published by Abbas et al. in the Journal of Biomedicine and Pharmacotherapy systematically revealed about the vaccines developed against the recent pandemic agents SARS-CoV-2 and its variants [1]. The authors insightfully provided an overview on the distinct features of the SARS-CoV-2 new variants, the associated mortality rate, hospitalization, re-infection and finally the efficacy of different vaccines.
J Biomed Res, 2021, Volume Volume 2, Issue Issue 2, p45-46 | DOI: 10.46439/biomedres.2.014
Cell therapies for neonatal encephalopathy: On the question of dose, route of administration, timing, and single versus multiple doses
The optimal range of cell dose, route of administration, and timing for the treatement of neonatal encephalopathy are not known. However, it is not practical to systematically interrogate all combinations of these variables in animal models to define the optimal cell therapy protocol. Despite this limitation, a number of trends are present in the literature that should be considered when designing future clinical and preclinical trials.
J Biomed Res, 2021, Volume Volume 2, Issue Issue 2, p47-50 | DOI: 10.46439/biomedres.2.015
Tailoring interactions for cisPro peptide bond stabilization
Elucidation of the nature of non-covalent interactions that govern the rate-limiting cis-trans isomerism at Xaa-Pro peptide bonds is fundamental to unravelling the protein folding mechanism, the stereoelectronic control elements of the structure and dynamics of the peptide bond, and the design of novel peptide isosteres.
J Biomed Res, 2024, Volume Volume 5, Issue Issue 1, p53-61 | DOI: 10.46439/biomedres.5.044
Pulmonary agenesis in a newborn
There are all transitions from hypoplasia of the lung to agenesis or aplasia of a lung lobe and to complete absence of the entire lung system as classifies such malformations as follows: a) unilateral complete absence of lung and bronchus, b) absence of one half of the lung and a short blind course of the associated bronchus, c) trunk bronchus formed, lung as a hazelnut- to fist-sized, unflap fist- sized, unlobed, fleshy structure in the mediastinum.
J Biomed Res, 2023, Volume Volume 4, Issue Issue 1, p61-63 | DOI: 10.46439/biomedres.4.036
The halftime strategies applied to elite soccer players for rehydration and maintain performance
The professionals involved soccer should understand that due to the game’s rules there may not be possibility correct hydration for soccer players during the matches and the opportunities that may appear to drink electrolytic drinks are still limited, not only drinks, but also opportunities to offer carbohydrates in gel form during matches.
J Biomed Res, 2024, Volume Volume 5, Issue Issue 1, p62-64 | DOI: 10.46439/biomedres.5.045
Half-time hydration and re-warm-up strategies for football players
We have read the commentary by Fernandes H (2024) with interest on a mini-review entitled Hydration Strategies for Elite Soccer Players. Given the popularity of the game globally and the busy tournament schedules without a break for the soccer players, their fitness remains a primary concern for the players and their coaches alike. Hence, elite soccer performance is crucial and depends on physiological readiness, technical skills, and tactical execution.
J Biomed Res, 2025, Volume Volume 6, Issue Issue 1, p64-65 | DOI: 10.46439/biomedres.6.065
Is drinking groundwater in India safe for human health in terms of fluoride?
Groundwater has been an invaluable resource for humanity for centuries. India is the world’s largest user of groundwater. It is mostly used not only for drinking and cooking but also for miscellaneous domestic purposes and irrigation in agriculture. Hand-pumps, bore-wells, step-wells, and open deep dug-wells continue to be the primary and major sources of groundwater production in India.
J Biomed Res, 2023, Volume Volume 4, Issue Issue 1, p64-71 | DOI: 10.46439/biomedres.4.037
Effect of sawdust and rice straw on yield and yield attributes of different strains of Pleurotus cystidiosus
To evaluate the effect of sawdust (SD) and rice straw (RS) on yield of different strains of Pleurotus cystidiosus (PCYS1-5), various yield attributes were measured in the present experiment. Among them, the best effect had been observed in the case of PCYS2. The highest mycelial running rate was observed in PCYS-2 + SD (0.84 cm). The highest average number of fruiting body/packet was observed in the treatment PCYS-2 +SD (61.00), followed by PCYS-1 +SD (58.00), PCYS-2 +RS (58.00) and the lowest in the treatment PCYS-3 +RS (47.00).
J Biomed Res, 2024, Volume Volume 5, Issue Issue 1, p65-70 | DOI: 10.46439/biomedres.5.046
Knowledge, attitude and practice of life style modification in the management of hypertension
Hypertension remains as one of the most important public health challenges worldwide because of the associated morbidity, mortality, and the cost to the society. Despite the availability of safe and effective antihypertensive medications and the existence of clear treatment guidelines, hypertension is still inadequately controlled in a large proportion of patients worldwide. Unawareness of lifestyle modifications, and failure to apply these were one of the identified patient-related barriers to blood pressure control.
J Biomed Res, 2025, Volume Volume 6, Issue Issue 1, p66-71 | DOI: 10.46439/biomedres.6.066
Experimental autoimmune encephalomyelitis of mice: Enzymatic cross site-specific hydrolysis of H3 histone by IgGs against H3, H1, H2A, H2B, and H4 histones, and myelin basic protein
Histones, with their various modified forms, are vitally important in chromatin functioning. However, free extracellular histone molecules in biological liquids usually act as damage factors. Mice treatment with exogenous histones determines several toxic responses because of inflammatory reactions and activation of Toll-like receptors.
J Biomed Res, 2024, Volume Volume 5, Issue Issue 1, p71-95 | DOI: 10.46439/biomedres.5.047
Prevalence of Equine Strongyloidiasis and associated risk factors in Guder, Ethiopia
Equines, which include horses, donkeys, mules, and zebras, are large hoofed mammals characterized by long legs, strong hooves, and a diet primarily composed of grasses. These animals play an important role in ecosystems and have been closely connected to human societies throughout history.
J Biomed Res, 2025, Volume Volume 6, Issue Issue 1, p72-77 | DOI: 10.46439/biomedres.6.067
Risk factors of stroke: A cross cut survey study on the basis of social class
Stroke is the second leading cause of death worldwide and the leading cause of long-term disability. A worldwide study based on vital record and data imputation shows that per year 15 million people faces the event ‘stroke’ which causes 5 million deaths and a further 5 million patients living with permanent cognitive and physical disability.
J Biomed Res, 2025, Volume Volume 6, Issue Issue 1, p78-82 | DOI: 10.46439/biomedres.6.068
Prevalence of gastrointestinal nematodes and associated risk factors of exotic chicken in selected farm of poultry in and around Ambo, Ethiopia
Poultry is kept in backyards or commercial production systems in most areas of the world. Compared to a number of other livestock species, fewer social and religious taboos are related to the production, marketing, and consumption of poultry products. For these reasons, poultry products have become one of the most important protein sources for humans throughout the world.
J Biomed Res, 2025, Volume Volume 6, Issue Issue 1, p83-87 | DOI: 10.46439/biomedres.6.069
Commentary on the use of the Taguchi method for electrocoagulation optimization in dairy effluent treatment
Dairy industry wastewater, characterized by its high load of organic and inorganic pollutants, continues to pose significant challenges to conventional treatment technologies. Electrocoagulation (EC) has emerged as an effective alternative, but its success depends on the careful optimization of multiple interrelated parameters.
J Biomed Res, 2025, Volume Volume 6, Issue Issue 1, p88-92 | DOI: 10.46439/biomedres.6.070
Overview of fasciolosis: Biological, epidemiological, and clinical perspectives
Fasciolosis (fascioliasis) is an important parasitic disease of both animals and humans, caused by Fasciola hepatica and F. gigantica. These liver flukes have a complex life cycle involving freshwater snails as intermediate hosts, with infection occurring through ingestion of metacercariae on contaminated vegetation or water.
J Biomed Res, 2025, Volume Volume 6, Issue Issue 1, p93-100 | DOI: 10.46439/biomedres.6.071
Modeling of psychological time cognition with Human Language based Consciousness model
This paper interprets subjective psychological time in a model of consciousness called the HLbC model proposed by the authors. Time has an objective physical time and a subjective psychological time. Subjective psychological time is thought to vary in its flow depending on the individual and the situation. For this explanation, this paper introduces surreal numbers into the perception of subjective psychological time.
J Biomed Res, 2024, Volume Volume 5, Issue Issue 1, p96-102 | DOI: 10.46439/biomedres.5.048
Prevalence of Brucellosis in Saudi Arabia: A meta-analysis
Brucellosis is a preventable bacterial illness that is common all over the world and a consistent problem in Saudi Arabia. Understanding the true prevalence of the disease in Saudi Arabia could provide information on how to tackle this health concern.
J Biomed Res, 2025, Volume Volume 6, Issue Issue 1, p101-106 | DOI: 10.46439/biomedres.6.072
Dietary habit, hygiene practice, and disease status among street children: A cross sectional survey
Child rag pickers in Dhaka city are increasing and very little known about their conditions and nutritional status. They lead a very vulnerable life and high risk of prone to different kinds of diseases. An observational cross-sectional study was carried out at selected areas of Dhaka to assess food habit, hygiene practice and disease pattern of street children.
J Biomed Res, 2024, Volume Volume 5, Issue Issue 1, p103-107 | DOI: 10.46439/biomedres.5.049
Comparative analysis of initial outcomes: Magnetic sphincter augmentation versus fundoplication in gastroesophageal reflux disease - A systematic review and meta-analysis
Gastroesophageal reflux disease (GERD) is a long-term digestive condition marked by the backflow of stomach contents into the esophagus. The worldwide combined prevalence of GERD was found to be 13.98%. GERD remains a significant public health problem due to its high global prevalence and potential for severe complications, including esophagitis, strictures, and progression to Barrett’s esophagus and esophageal adenocarcinoma.
J Biomed Res, 2025, Volume Volume 6, Issue Issue 1, p107-115 | DOI: 10.46439/biomedres.6.073
CRISPR-Cas systems: A revolution in genome editing and its diverse applications
The clustered regularly interspaced short palindromic repeats (CRISPR) Cas (CRISPR6 associated protein) system is an advanced adaptive immune system found in prokaryotes. First discovered in1987, CRISPR Cas has revolutionized genetic research in the past two decades. CRISPR-Cas9 the most widespread system enables precise gene editing by creating double strand breaks.
J Biomed Res, 2024, Volume Volume 5, Issue Issue 1, p108-114 | DOI: 10.46439/biomedres.5.050
Recent advances and challenges in brain tumor segmentation utilizing α-expansion graph cut
This commentary summarizes our team's recent study, "Brain Tumor Segmentation Based on α-Expansion Graph Cut," by discussing the recent advances in deep learning integration, multimodality imaging, and real-time segmentation tools. It also highlights the strengths of the method in energy minimization and noise handling done throughout the study, while it addresses the challenges related to scalability, deep learning integration, and generalization.
J Biomed Res, 2024, Volume Volume 5, Issue Issue 1, p115-118 | DOI: 10.46439/biomedres.5.051
Progressive multifocal leukoencephalopathy in the modern therapeutic era: A critical synthesis of epidemiology, diagnostics, and policy implications with regional context from Korea
This review aims to synthesize contemporary evidence on progressive multifocal leukoencephalopathy (PML), a rare, demyelinating disease of the central nervous system caused by reactivation of the John Cunningham virus (JCV) in immunocompromised individuals. Since its initial description in 1958, PML has evolved from being predominantly associated with hematological malignancies to a multifaceted opportunistic infection seen in HIV/AIDS, autoimmune disorders, transplantation medicine, and in patients receiving monoclonal antibody therapies such as natalizumab.
J Biomed Res, 2025, Volume Volume 6, Issue Issue 1, p116-120 | DOI: 10.46439/biomedres.6.074
Total lymphocyte count and wound dehiscence of patients with oral squamous cell carcinoma
Nutritional status is a sensitive indicator of health. There is not a single parameter that serve as the only and best parameter to evaluate malnourished patients or patients with risk for malnutrition. Patients with oral squamous cell carcinoma were a focus of concern for nutritional impairment. Nutritional impairment is a common phenomenon among the patients with oral squamous cell carcinoma.
J Biomed Res, 2024, Volume Volume 5, Issue Issue 1, p119-122 | DOI: 10.46439/biomedres.5.052
Determination of allelic, phenotypic, and genotypic frequency of the distribution of ABO and Rh blood groups among Injibara University students, Ethiopia
Blood is the body's main fluid, transporting nutrition, oxygen, and hormones throughout the entire structure. Rh antigen and blood types are inherited. The first chromosome contains the Rh antigen gene, while the ninth chromosome has the ABO antigen gene.
J Biomed Res, 2024, Volume Volume 5, Issue Issue 1, p123-129 | DOI: 10.46439/biomedres.5.053
From decay to decadence: Fungal alchemy in waste valorization
Fungal alchemy harnesses fungi's enzymatic efficiency to naturally degrade synthetic plastics. Enzymes like cutinase and lipase, secreted by Aspergillus and Penicillium, break down plastics, while lignocellulolytic enzymes and oxidant ions aid in this process. Aspergillus nidulans, Bjerkandera adusta, and Pleurotus ostreatus drive bioenergy and genetic engineering innovations for a sustainable eco-friendly approach to plastic waste management and waste valorization.
J Biomed Res, 2024, Volume Volume 5, Issue Issue 1, p130-135 | DOI: 10.46439/biomedres.5.054